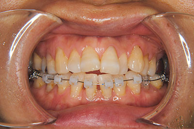
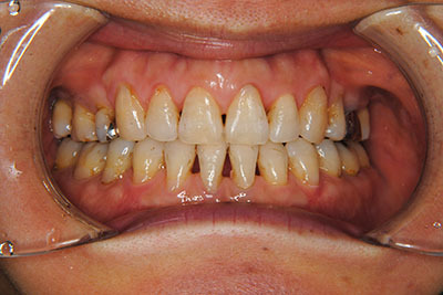
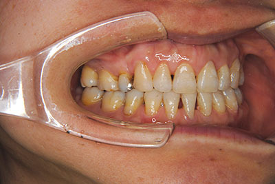
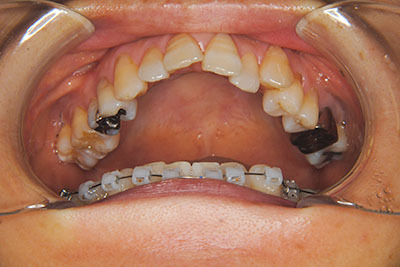
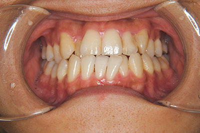
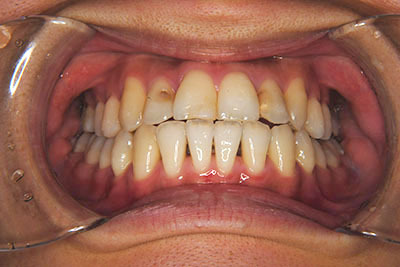
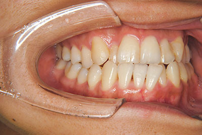
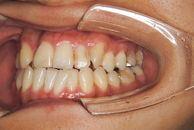
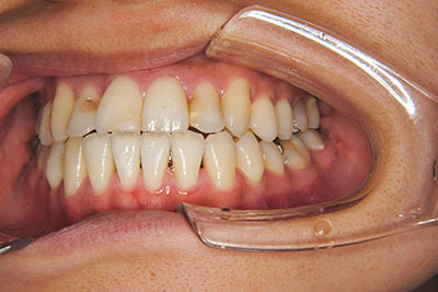
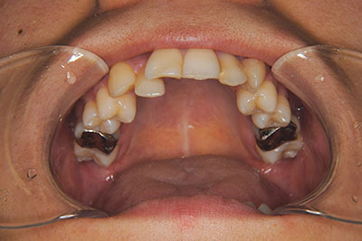
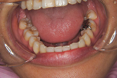
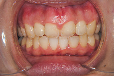
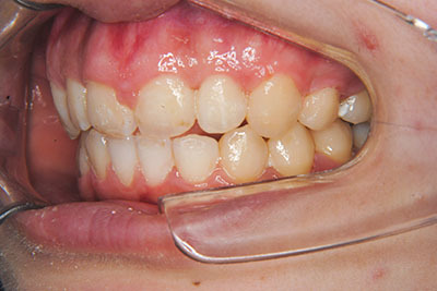
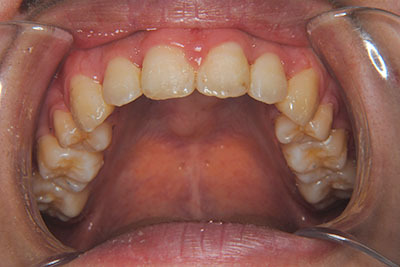
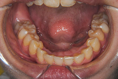
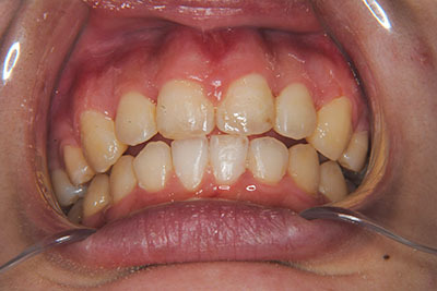
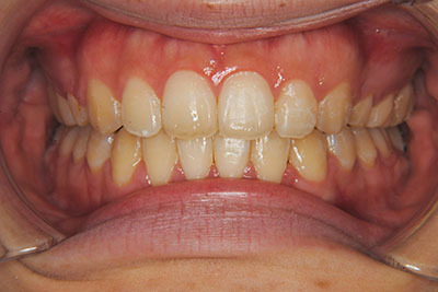
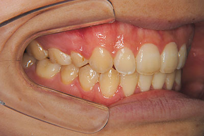
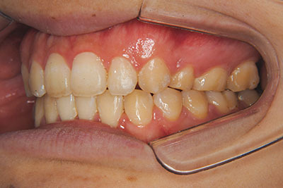
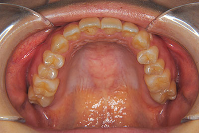
おとなの方でも矯正治療をあきらめないでください!
矯正歯科治療は子供の頃だけしかできない……
子供の頃に比べ大人になったら治療期間がすごく長い……
というようなイメージをお持ちではありませんか?
子供の頃に矯正治療を行う方が治療期間が短く済むというのは、確かですが、矯正治療は患者様の意識も重要です。
いくら歯が動き易くとも、本人がやる気でなければ効果は出ませんし、むし歯発生のリスクも高まります。おとなの方は顎の成長が終わっているため、治療の計画が立てやすいとも言えます。「もう大人だから…」とあきらめず、一度ご相談ください。
本格矯正治療の詳しい説明は小児矯正治療/本格矯正治療ページを御覧ください。
















































