矯正治療には乳歯が残っているうちに行う小児矯正治療(Ⅰ期治療、予防矯正とも言います)と、永久歯に生え変わってから行う本格矯正治療(Ⅱ期治療とも言います)があります。
ご希望により部分的な矯正治療で行える場合もありますのでお気軽にご相談ください。
ホーム ≫ 矯正治療 ≫
小児矯正治療/本格矯正治療
小児矯正治療
小児矯正治療はあご自体を正しく整える治療です。
でこぼこやねじれなどは本格矯正治療も行わないと治らないことがあります。
主に小学生までの乳歯が生え変わるまでに行う治療です。
上対下の顎の成長バランスを整えたり、入りきらない永久歯を並べるよう顎を大きくして生え変わってから永久歯を抜かないで済むようにする大事な矯正治療です。
当院では特に歯を抜かない治療に力を入れております。ご心配な方はお早めにご相談ください。
相談が早すぎて悪いことはありません。相談は無料で行っております。
使用する装置について
-
歯列矯正用咬合誘導装置(ムーシールド) -
拡大床 -
歯列矯正用咬合誘導装置
小児矯正治療症例
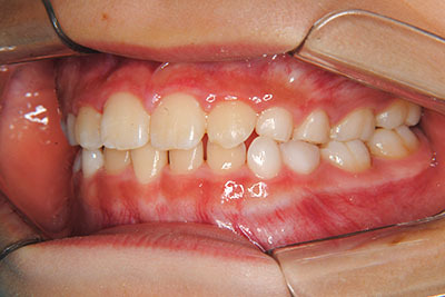
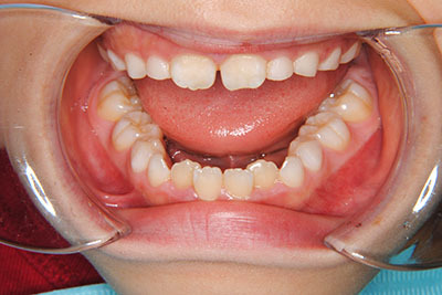
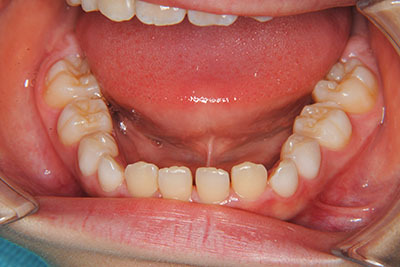
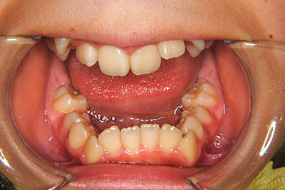
前歯の咬み合わせ
患者さんのお母さんが、前歯が逆に咬んでいること(反対咬合と言います)と、下の前歯のガタガタの状態を治してほしいと来院されました。
検査の結果、下あごが大きくて前に出ているなどの骨格的不正はなく、上の前歯が中に入ってしまっていることや歯並びが狭いため下の前歯が並びきらない状態であることがわかりました。上の歯列にリンガルアーチ(固定式の矯正装置で、前歯をスプリングで押し出します)を、下の歯列に拡大床を使っていただく治療を行いました。永久歯は抜いていません。
| 治療開始年齢 | 8歳5か月、男性 |
|---|---|
| 治療期間 | 1年 |
| 治療費 (10%税込み) |
検査・診断料:44,000円 Ⅰ期治療矯正施術料:385,000円 処置料:5,500円×8回=44,000円 合計:473,000円 |
| 今回の治療に伴うリスク・副作用としては、リンガルアーチセット後、1か月後のスプリング調整後に患者さんが多少の痛みを感じたことがありました。 |
本格矯正治療
永久歯に生え変わってから、歯に直接接着した固定式装置で行う治療です。
当院では田村元先生(江戸川区、田村矯正歯科医院)開発のマルチブラケット装置(T21ブラケット)を使用し、成田信一先生(目黒区、自由が丘矯正歯科クリニック)のマルチブラケットシステム(JETシステム)を取り入れた治療を行っています。
もちろん両先生のセミナーには早くから参加し、田村先生の診療所を見学させていただき貴重なご意見を頂戴いたしました。
当院の本格矯正治療では少ない痛みで早く治る方が多いです
永久歯の不正咬合を治す矯正装置として、歯に直接接着してワイヤーを通すマルチブラケット装置が広く一般的に使われています。この治療は治療期間が2~3年程度と長い、痛みがある、虫歯になりやすいなど、問題点もありました。
当院ではマルチブラケットシステム(T21システム)を全面的に取り入れ、小学校高学年や中学生の方ではおおよそ1年で歯並びが治っています。おとなの方でもほとんど痛みを感じることなく歯の動きを実感でき、治っているのがわかるとおっしゃっています。
※矯正治療の期間は個人差が有ります。
どこが違うのか?
摩擦が少ないので動き易い。弱い力で動かせる。
なぜ従来のマルチブラケット装置に比べてこうも違うのかと言いますと、右の写真のマルチブラケット装置(T21ブラケット)を見ますと、ブラケット(右側)にキャップ(左側)がはまって全体を構成しています。
コの字型の金属ステーはワイヤーが通る部分でその名称をスロットといいます。
エッジワイズブラケット(左)とマルチブラケット装置(T21ブラケット)が並んだ右の写真をご覧ください。一般的なブラケットではワイヤーをブラケットのスロットにしっかり押さえつけるように小さなオーリングや決紮線という細いワイヤーで縛っていたので摩擦が大きく歯が動きにくかったのですが、マルチブラケット装置(T21ブラケット)ではキャップをかぶせることで摩擦がほとんどなく弱い力で歯を動かすことができます。弱い力で歯を動かせるので痛みも少なく、力が歯の移動に最適なので早く動く(力の大きさに比例してどんどん歯が動くわけではありません)という結果につながっています。
一般的なマルチブラケット装置に比べリスクを減らすことが出来ます
マルチブラケット装置での矯正治療のリスクとしては
1. 歯根吸収(歯の根っこの先が少し溶けて根が短くなる現象)
2. 歯肉退縮(歯と歯の間の歯肉=歯間乳頭という、が少し下がって隙間があく現象)
が知られています。
※医療行為には残念ながらリスクが伴います。当院では初診時にリスクについてもご説明しています。
マルチブラケット装置(T21ブラケット)による治療では一般的な装置での治療に比べて、歯根吸収がおおよそ1/12に歯肉退縮が2/11に減少するという報告があります。(田村元、丸山成暢、フルパッシブ矯正の理論と臨床⑯、JOP、2011)
私、島田は20有余年の間矯正臨床に携わりながら治療によるリスクをなるべく回避できないかと常に考え、さまざまな文献を調べ諸先生方のご意見に耳を傾け、低リスクの体に優しい矯正治療法を模索してまいりました。
その結果、マルチブラケット装置(T21ブラケット)による治療法にたどりついた次第です。
ではマルチブラケット装置(T21ブラケット)を着ければすべてうまくいくかと言うとそうではありません。
ハードだけではだめでノウハウが必要です。同じ線路の幅だからと言って京浜急行に新幹線を走らせても速くなりません。新幹線は車両だけではなく信号システムもろもろ全て含めて新幹線なのです。
当院ではマルチブラケットシステム(JETシステム)を参考に、マルチブラケット装置(T21ブラケット)の性能を充分生かした治療を行っております。
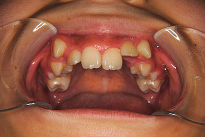
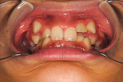
若年本格矯正治療症例 小学生
前歯の咬み合わせ
検査の結果、横顔的な骨格の前後的不正はほとんどありませんでした(この判定のために矯正歯科ではセファログラムエックス線写真を撮ります。これが非常に重要です)。しかし咬み合わせは上が下よりも大きく前にずれた状態でしたので、やむを得ず上の左右4番目の永久歯計2本を抜歯し、固定式装置であるマルチブラケット装置(T21ブラケット)により治療を行いました。
重症度が高く、治療期間が長くなると予想されましたが、口の中に小さな輪ゴムを使ってかみ合わせを整える段階で非常に頑張ってゴムを使っていただき、短期間で治りました。
| 治療開始年齢 | 10歳5か月、男性 |
|---|---|
| 治療期間 | 1年6カ月 |
| 治療費(10%税込み) | 検査・診断料:44,000円 全顎矯正施術料:770,000円 処置料:5,500円×18回=99,000円 合計:913,000円 |
| 今回の治療に伴うリスク・副作用としては、マルチブラケット装置(T21ブラケット)を初めてつけてから4日程度、食事のたびに主に前歯に多少の痛みを感じたそうです。治療後のエックス線写真では、マルチブラケット矯正治療で生じる歯根吸収は観察されませんでした。また、歯肉退縮(歯と歯の間の歯肉が下がってブラックトライアングルという空隙ができてしまう)もありませんでした。 |
























