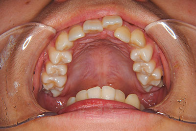
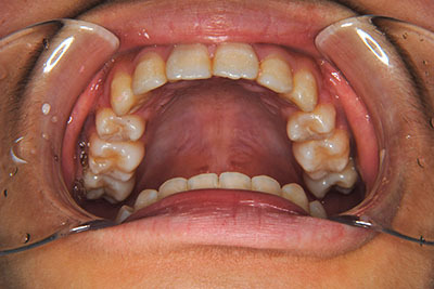
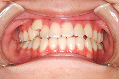
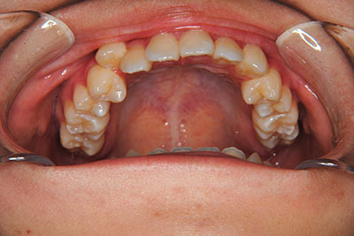
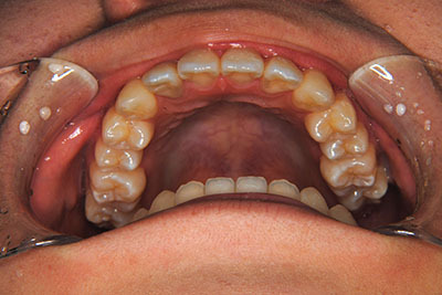
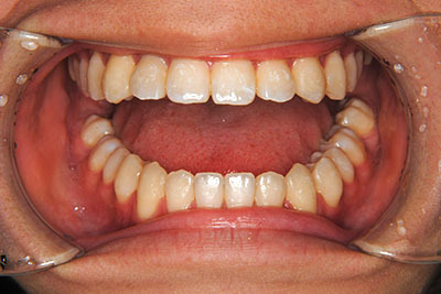
小学生高学年や中高生で矯正治療を考えている方へ
歯が乳歯から永久歯に生え変わった小学生高学年や、中高生でも矯正治療に手遅れということは全くありません。
成長中の顎の骨を矯正できたり、この時期の矯正はおとなになってから矯正治療を始めるよりも短期間で済むことがほとんどです。当院だとおおよそ1年で動的治療(マルチブラケット装置をつける期間)が終わることが多いです。
※矯正治療の期間は個人差が有ります。
本格矯正治療の詳しい説明は小児矯正治療/本格矯正治療ページを御覧ください
























