ホーム ≫ 症例紹介(中学生女子) ≫
症例紹介
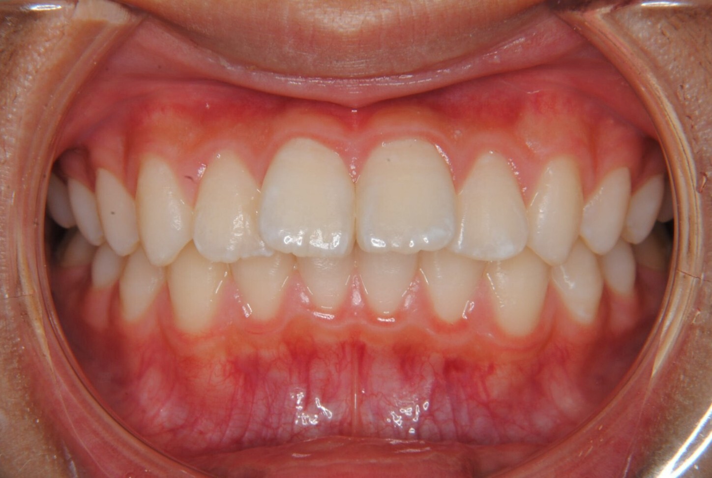
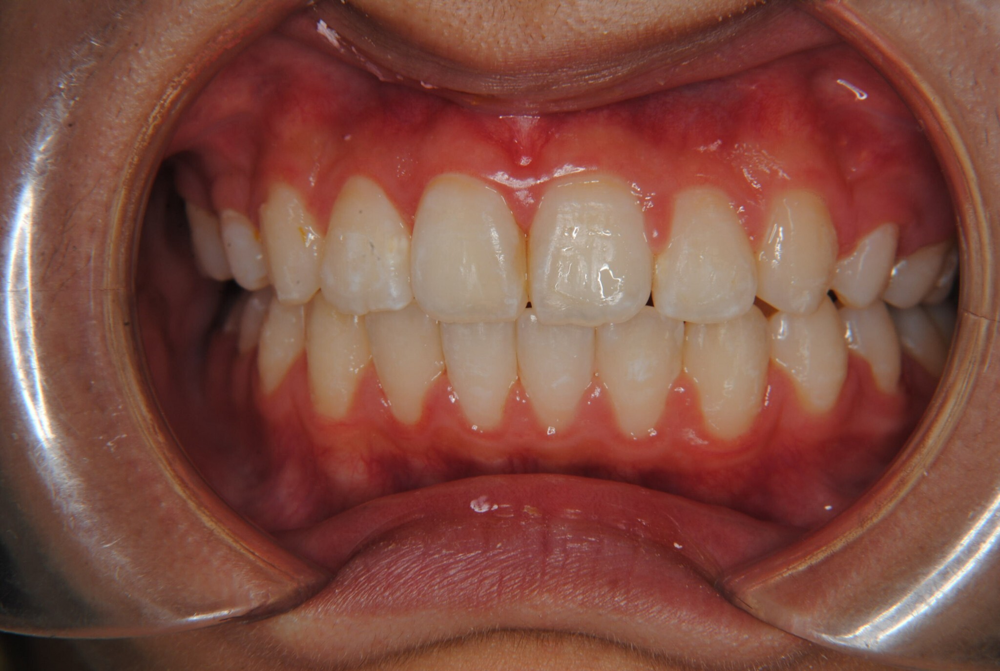
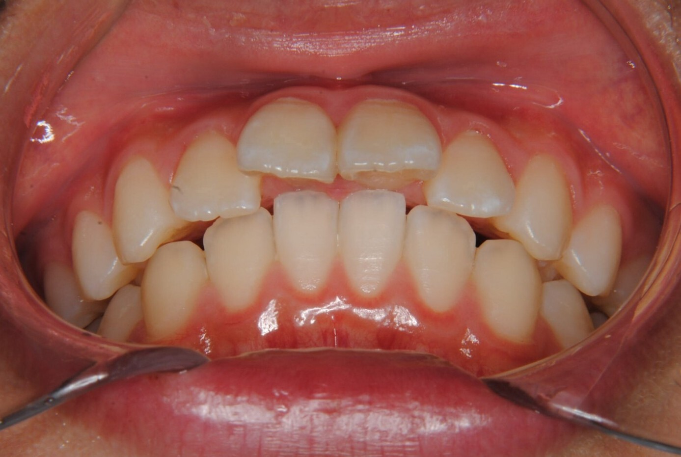
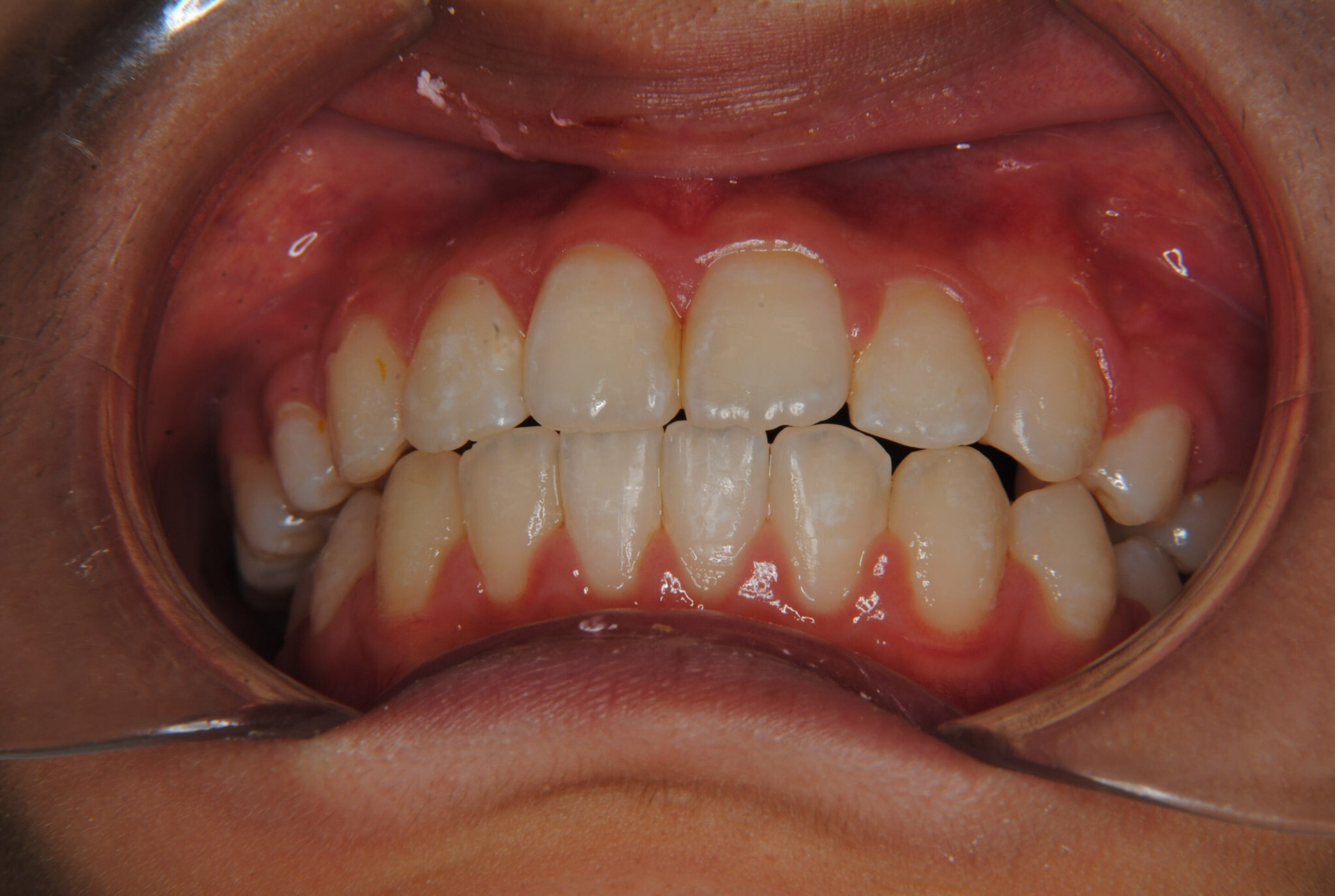
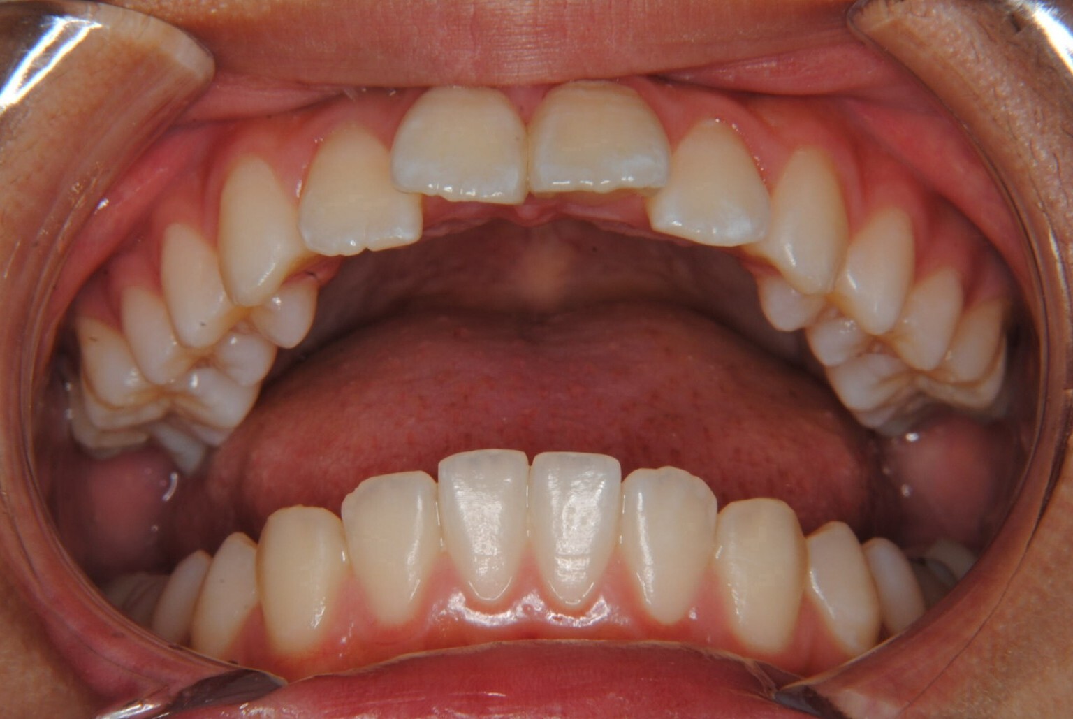
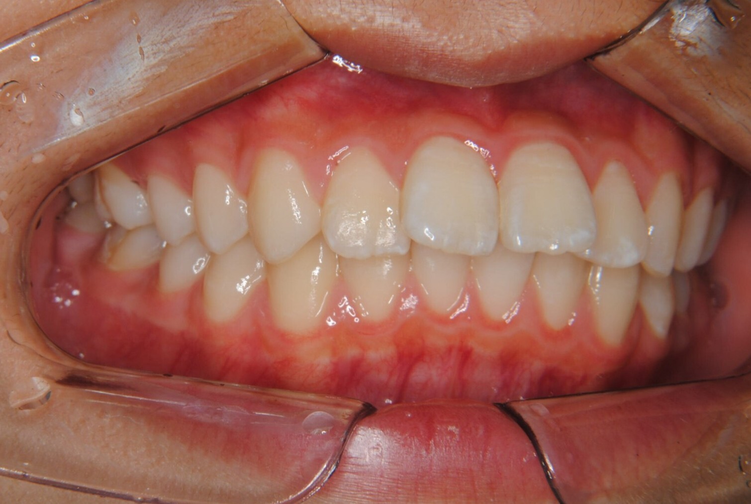
①主訴:出っ歯を治したい。
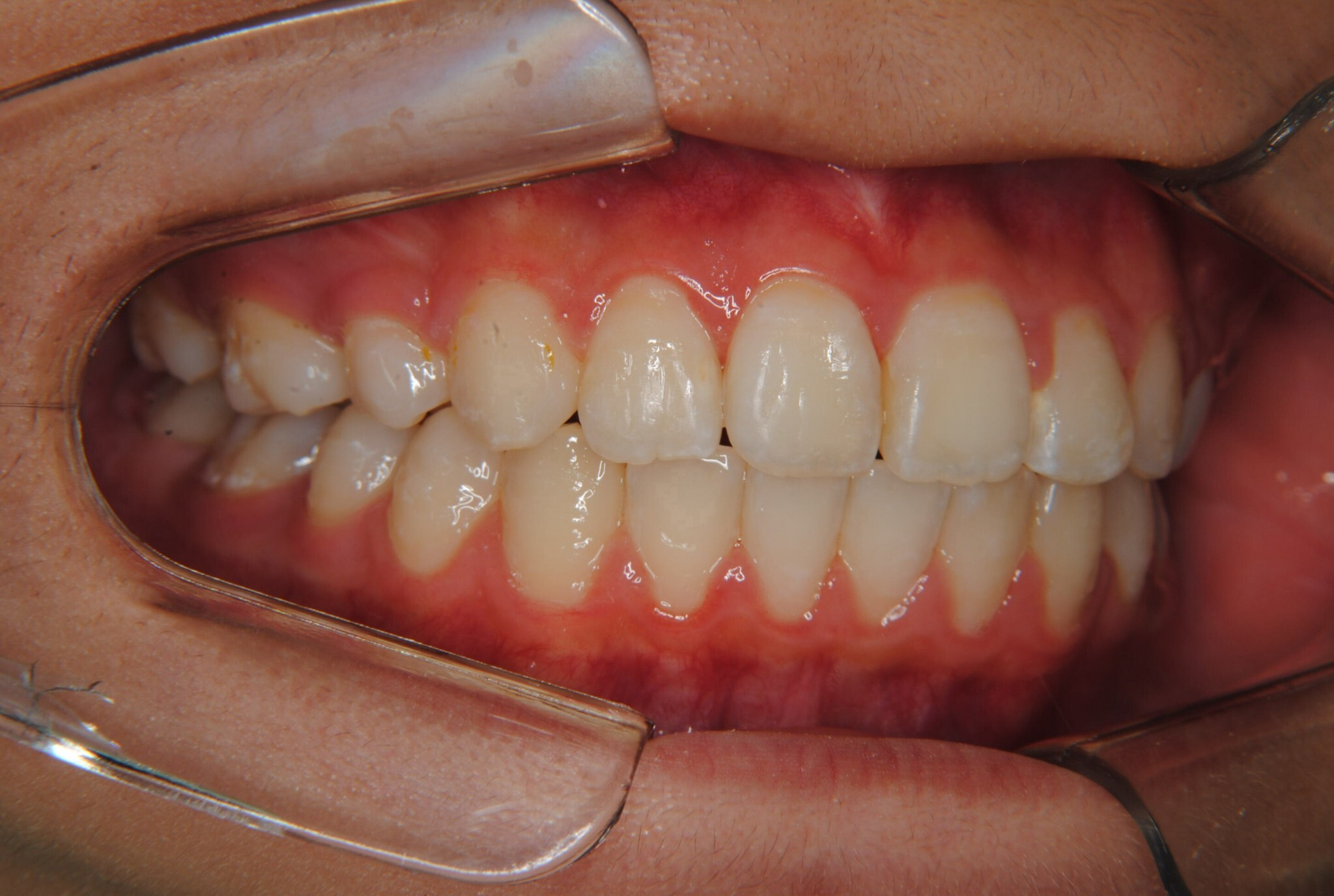
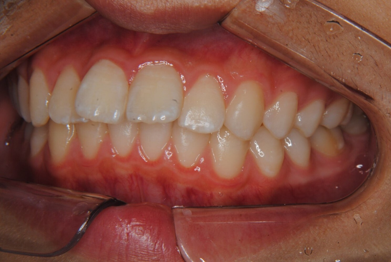
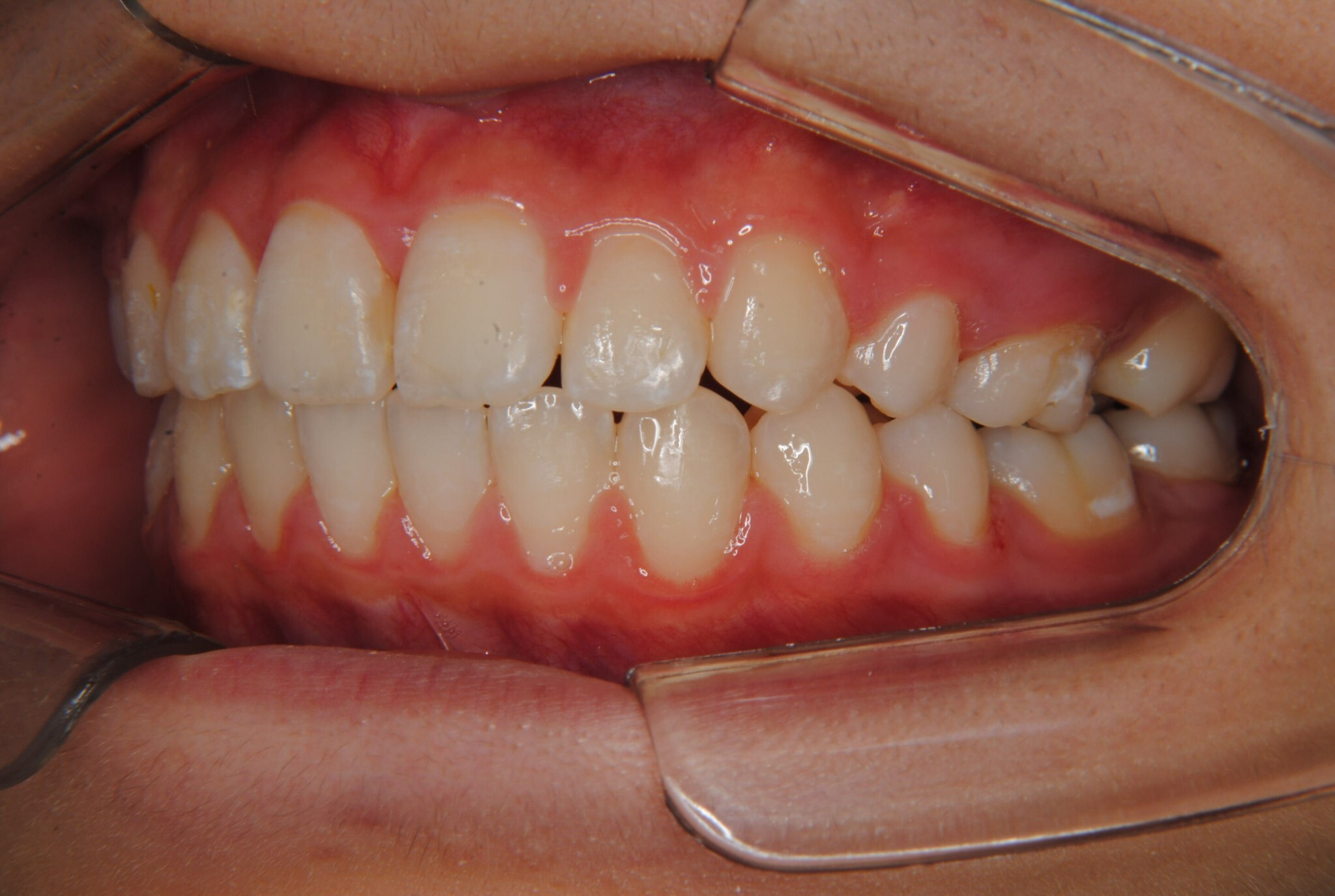
②診断名:Angle classⅡ division1
③年齢:初診時14歳5か月、動的治療終了時16歳7か月、女性
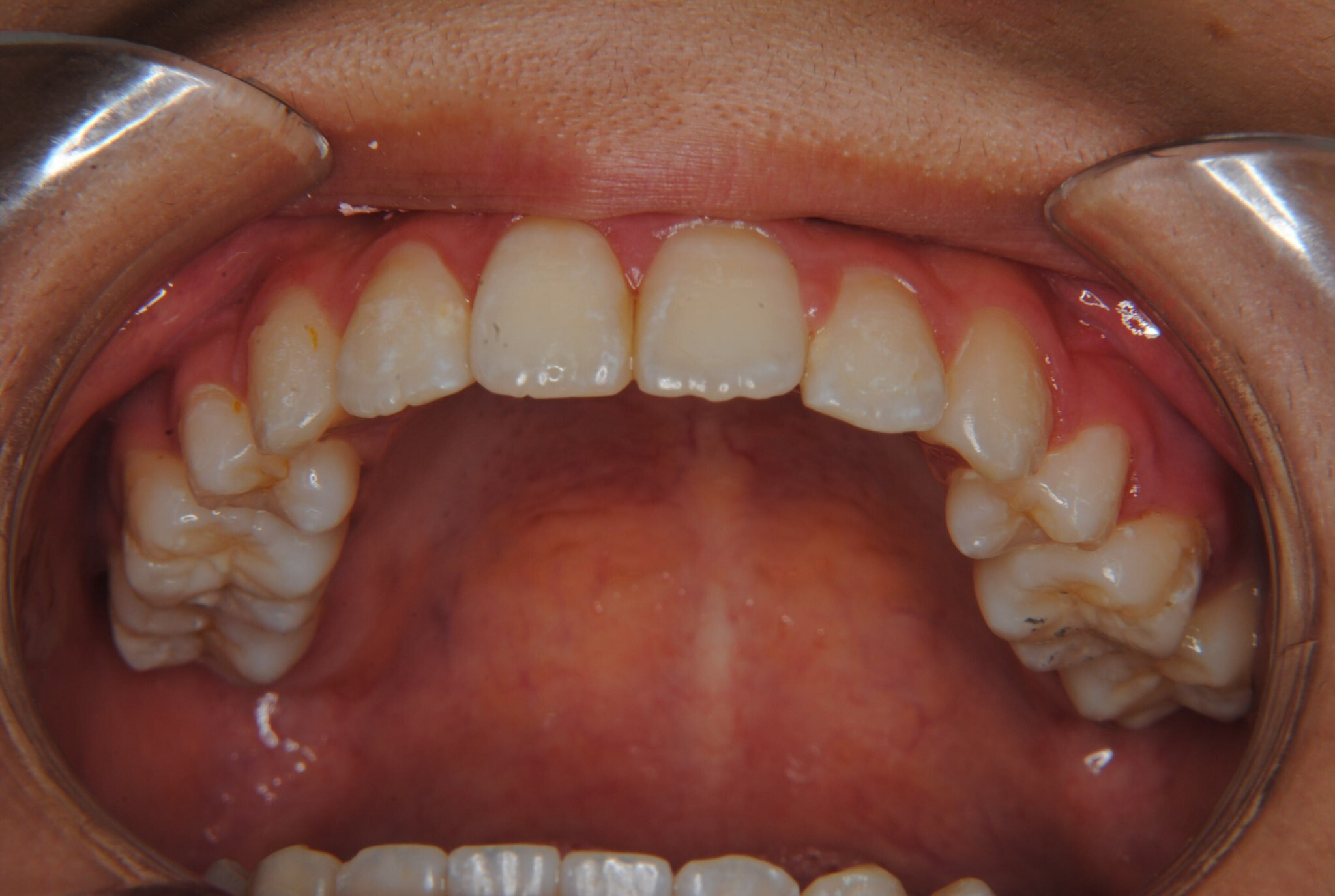
④治療に用いた主な装置:マルチブラケット装置(T21ブラケット)
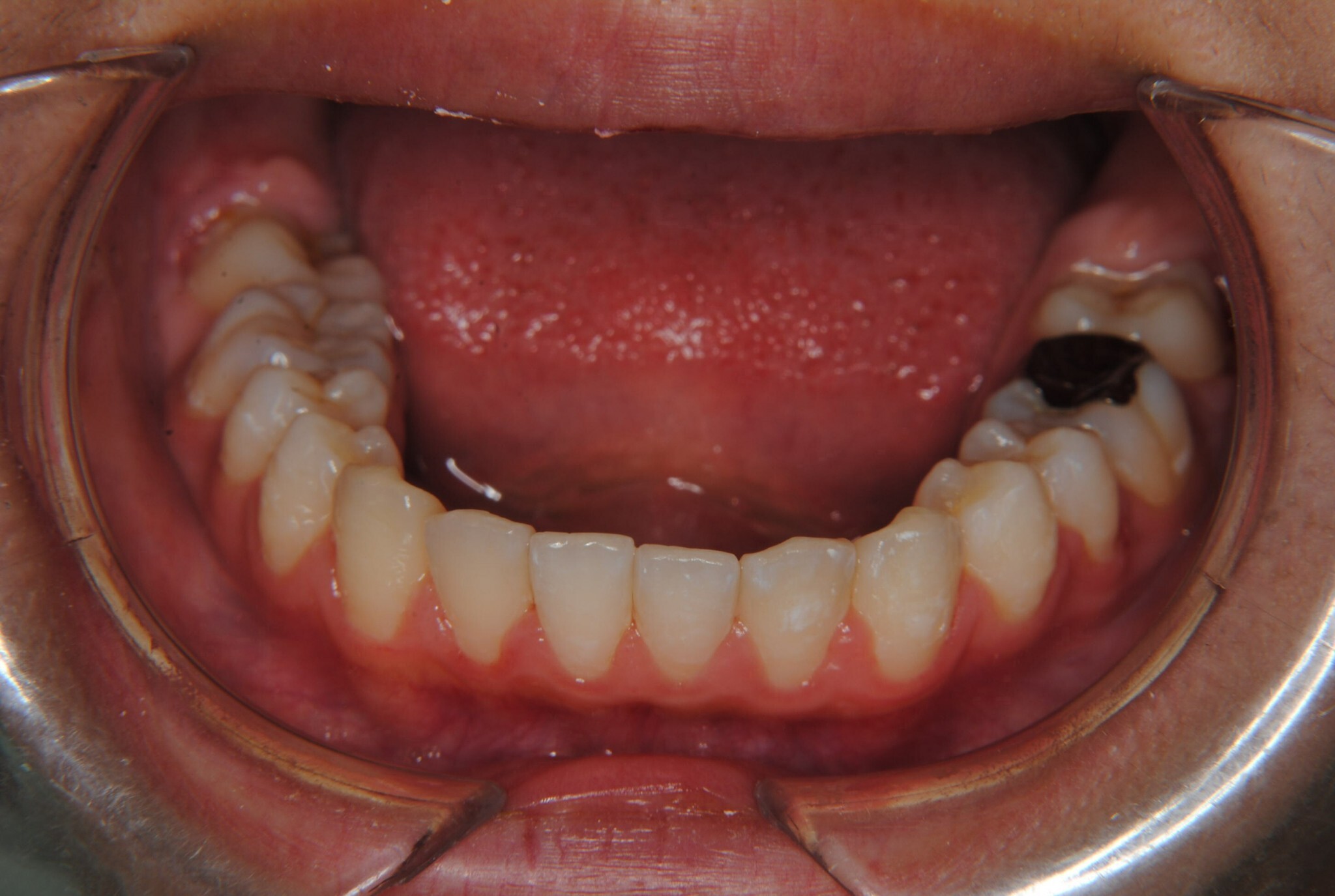
⑤抜歯部位:上左右四番目の永久歯(上顎左右第一小臼歯)
⑥治療期間:2年2か月(中学3年時は勉強で多忙のため3か月毎の通院でした)
⑦治療費:検査診断料44,000円、矯正施術料770,000円、処置料5,500円×16回=88,000円
合計:902,000円(税込み)
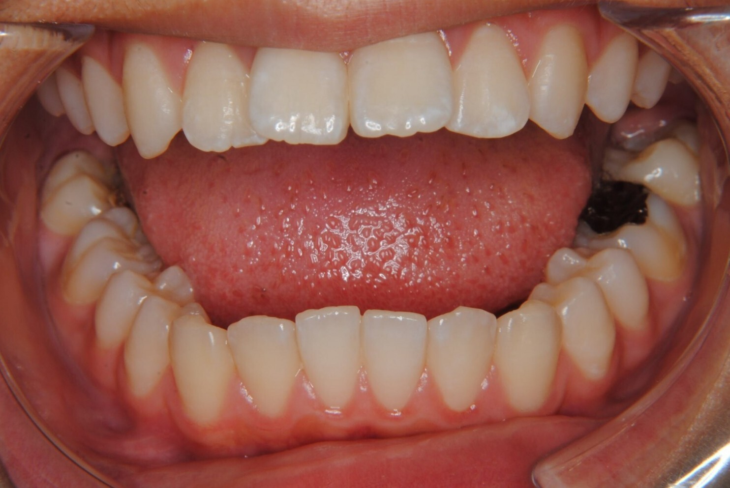
⑧リスクと副作用:マルチブラケット装置(T21ブラケット)を初めてつけてから4日程度、多少の痛みを感じたそうです。治療後のエックス線写真では、マルチブラケット矯正治療で生じる歯根吸収は観察されず歯根の状態は健全でした。歯肉退縮(歯と歯の間の歯肉が下がってブラックトライアングルという空隙ができてしまう)も生じることなく動的矯正治療を完了できました。












