ホーム ≫ 症例紹介(40代女性) ≫
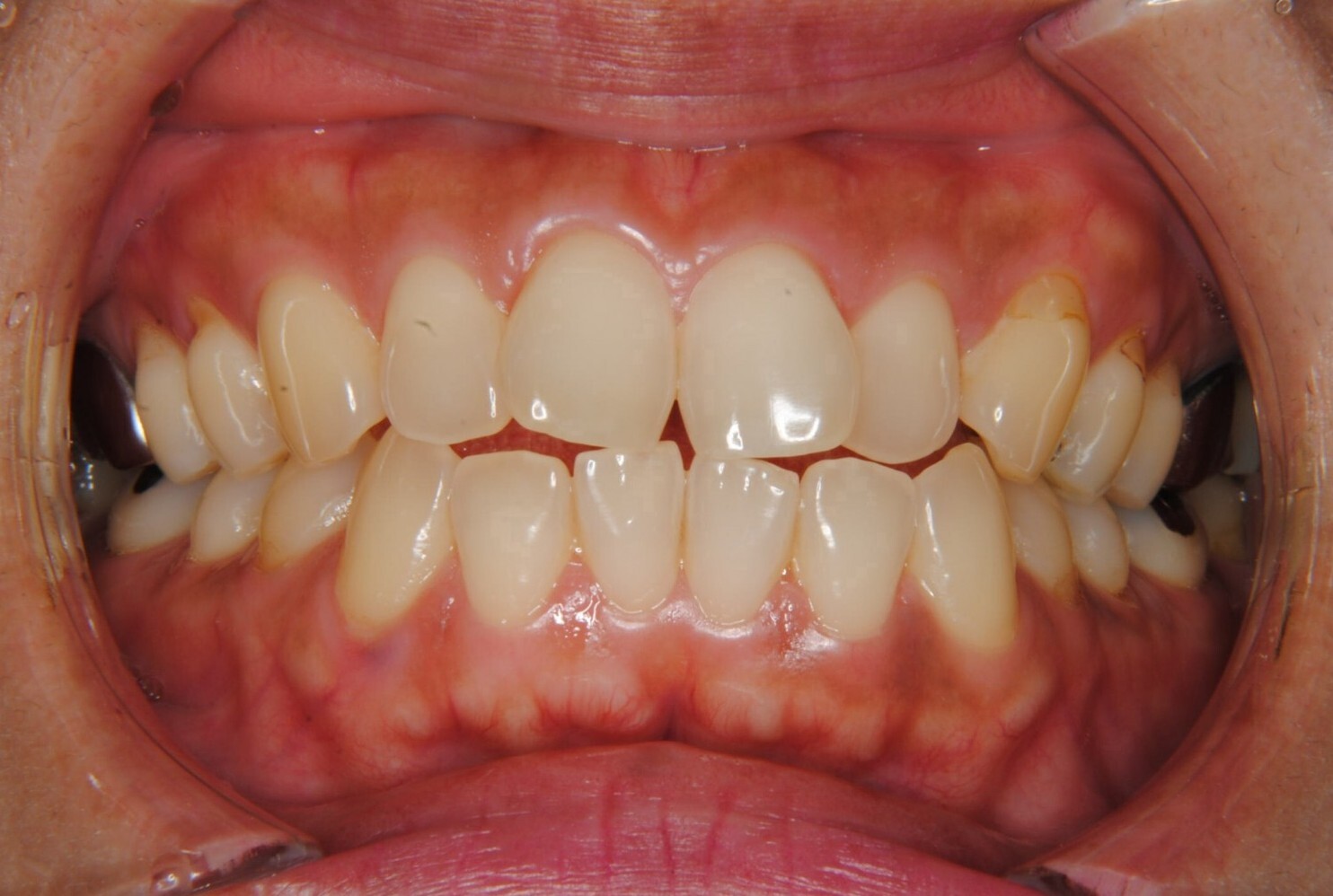
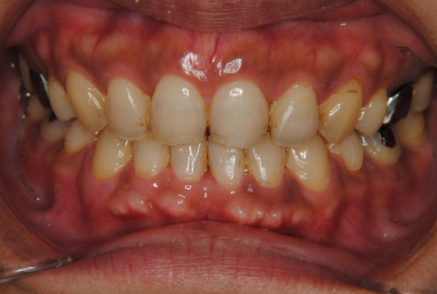
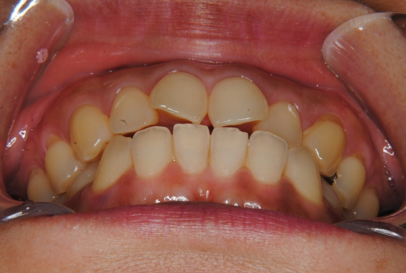
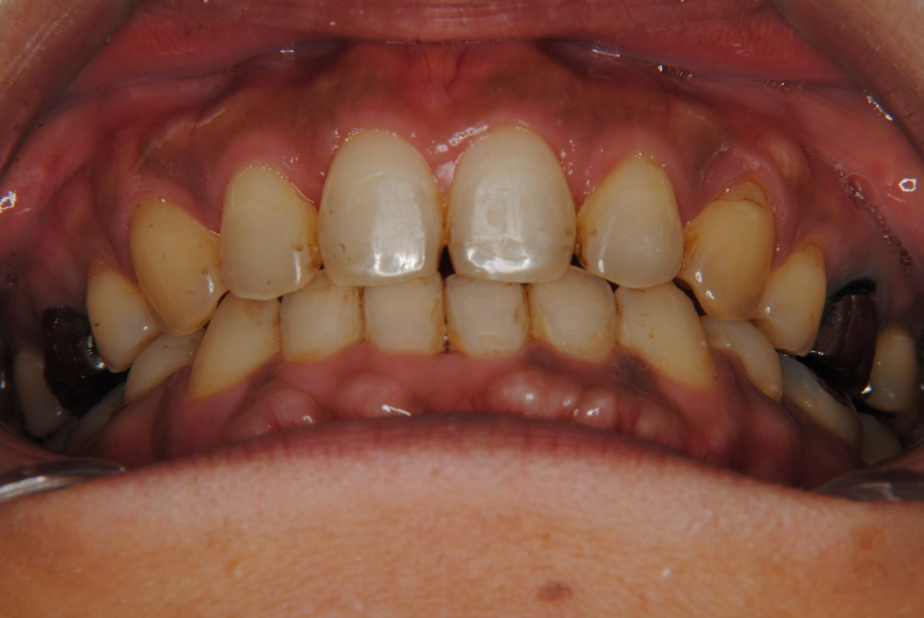
症例紹介
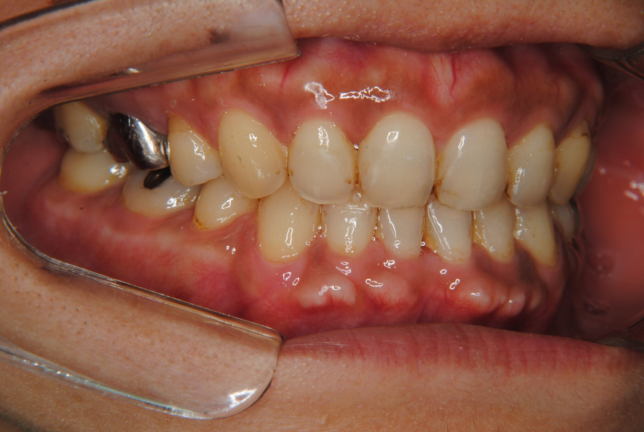
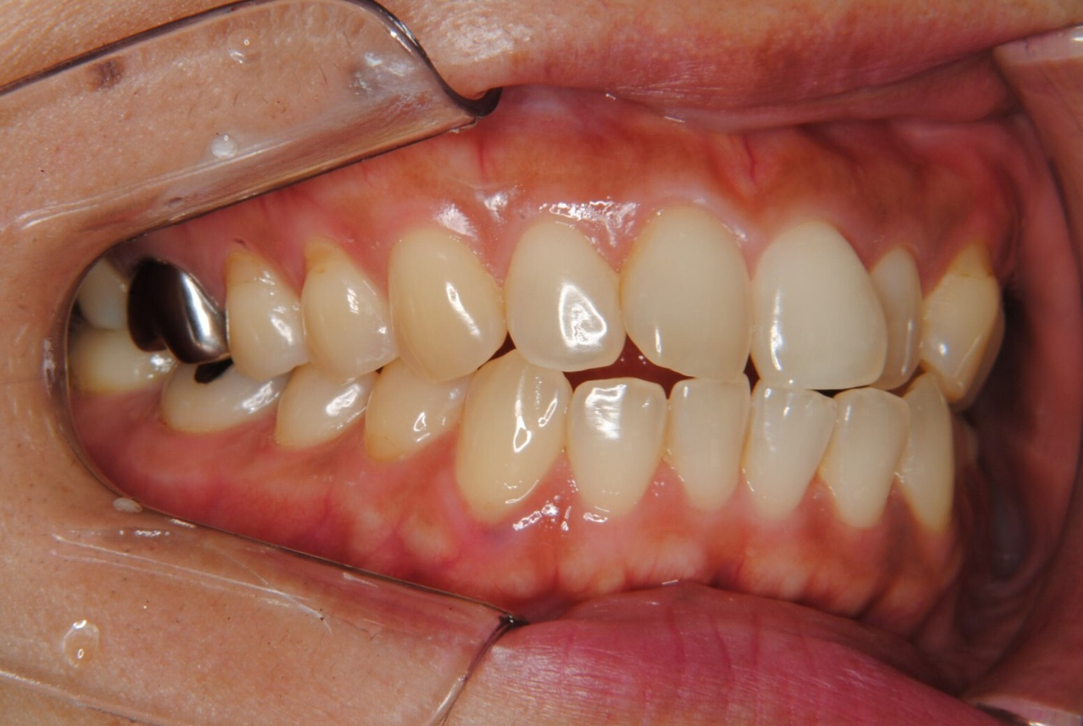
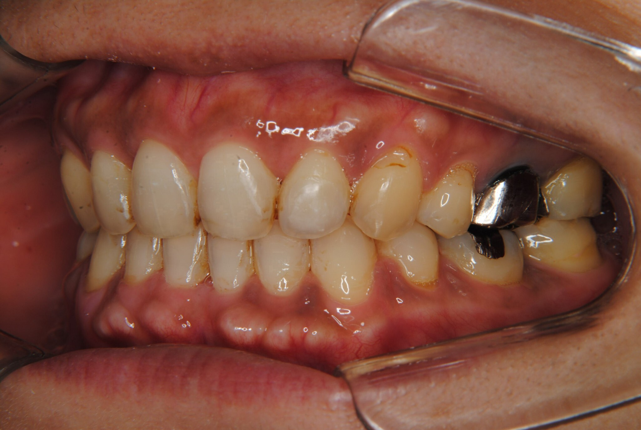
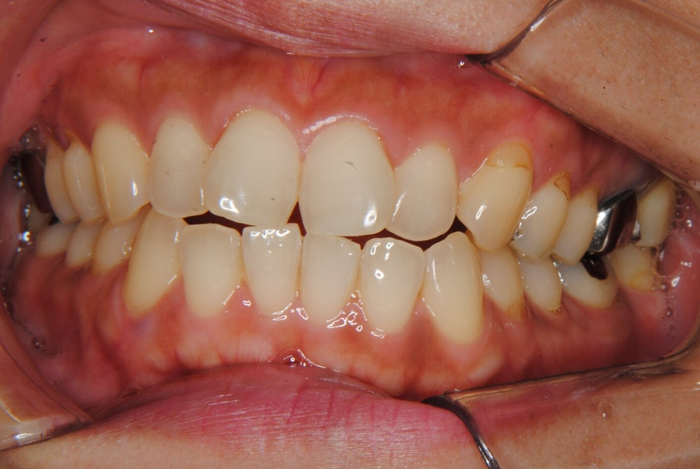
①主訴:前歯が出ている。
②診断名:Ⅰ級叢生
③年齢:初診時42歳9か月、動的治療終了時44歳11か月、女性
④治療に用いた主な装置:マルチブラケット装置(T21ブラケット)
⑤抜歯部位:上下左右第一小臼歯計4本抜歯
⑥治療期間:2年2か月
⑦治療費:検査診断料44,000円、矯正施術料770,000円、処置料5,500円×26回=143,000円
合計:957,000円(税込み)
⑧リスクと副作用:マルチブラケット装置(T21ブラケット)を初めてつけてからの痛みはほとんどなかったそうです。治療後のエックス線写真で、歯根吸収はほとんど観察されず歯根の状態は健全で、歯肉退縮(ブラックトライアングル)も生じませんでした。








