ホーム ≫ 症例紹介(小学生高学年の男子) ≫
症例紹介
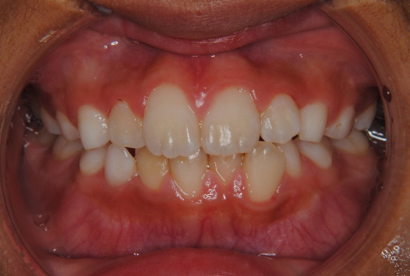
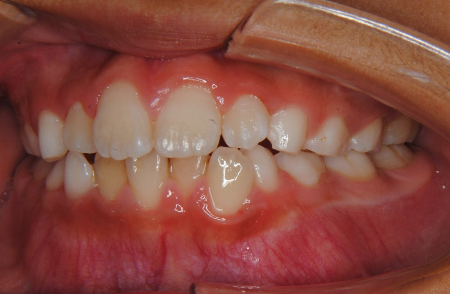
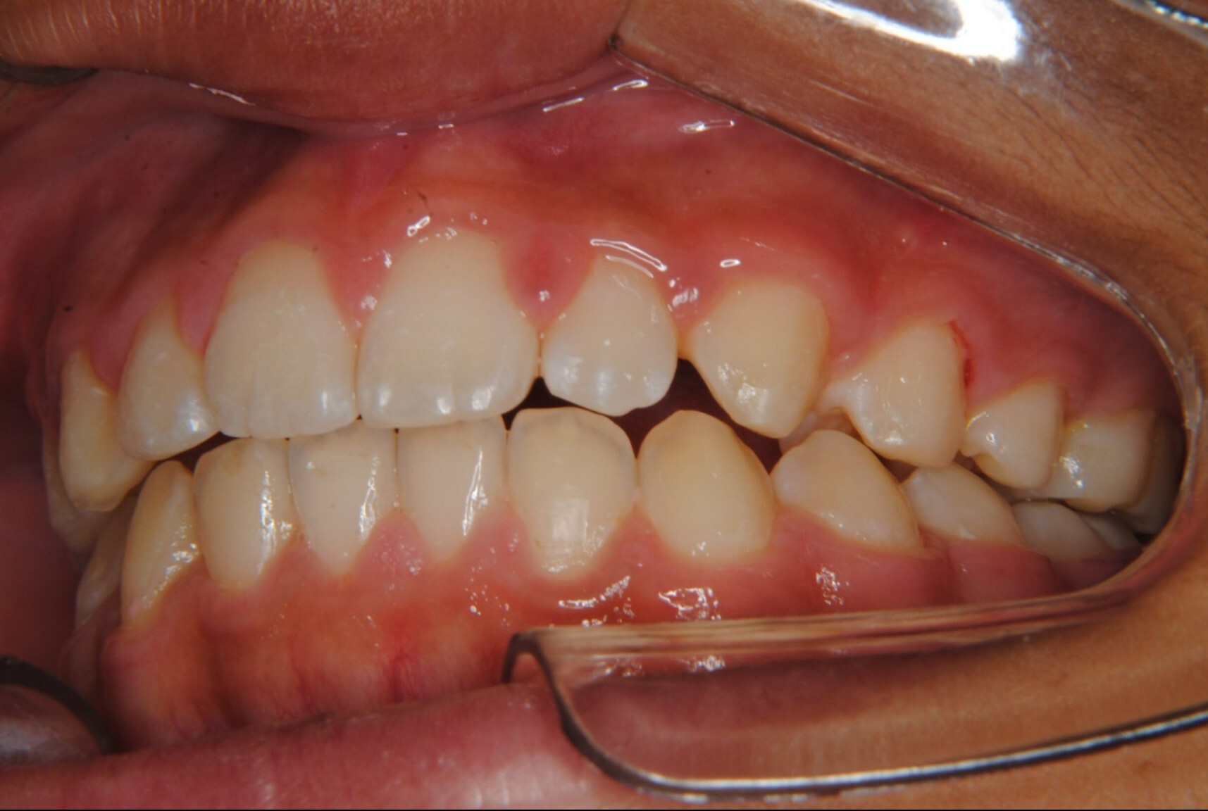
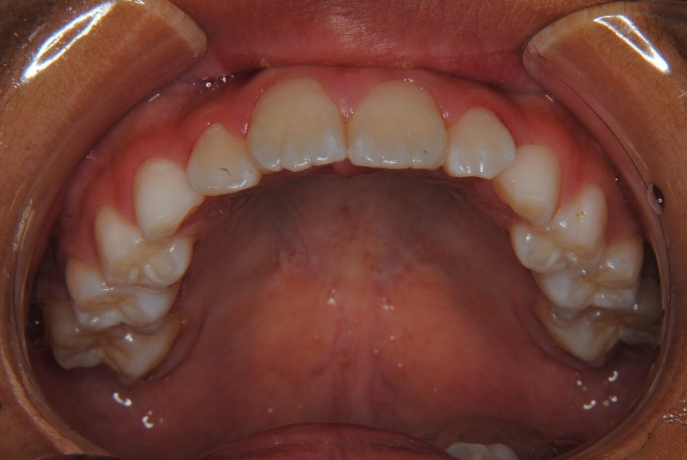
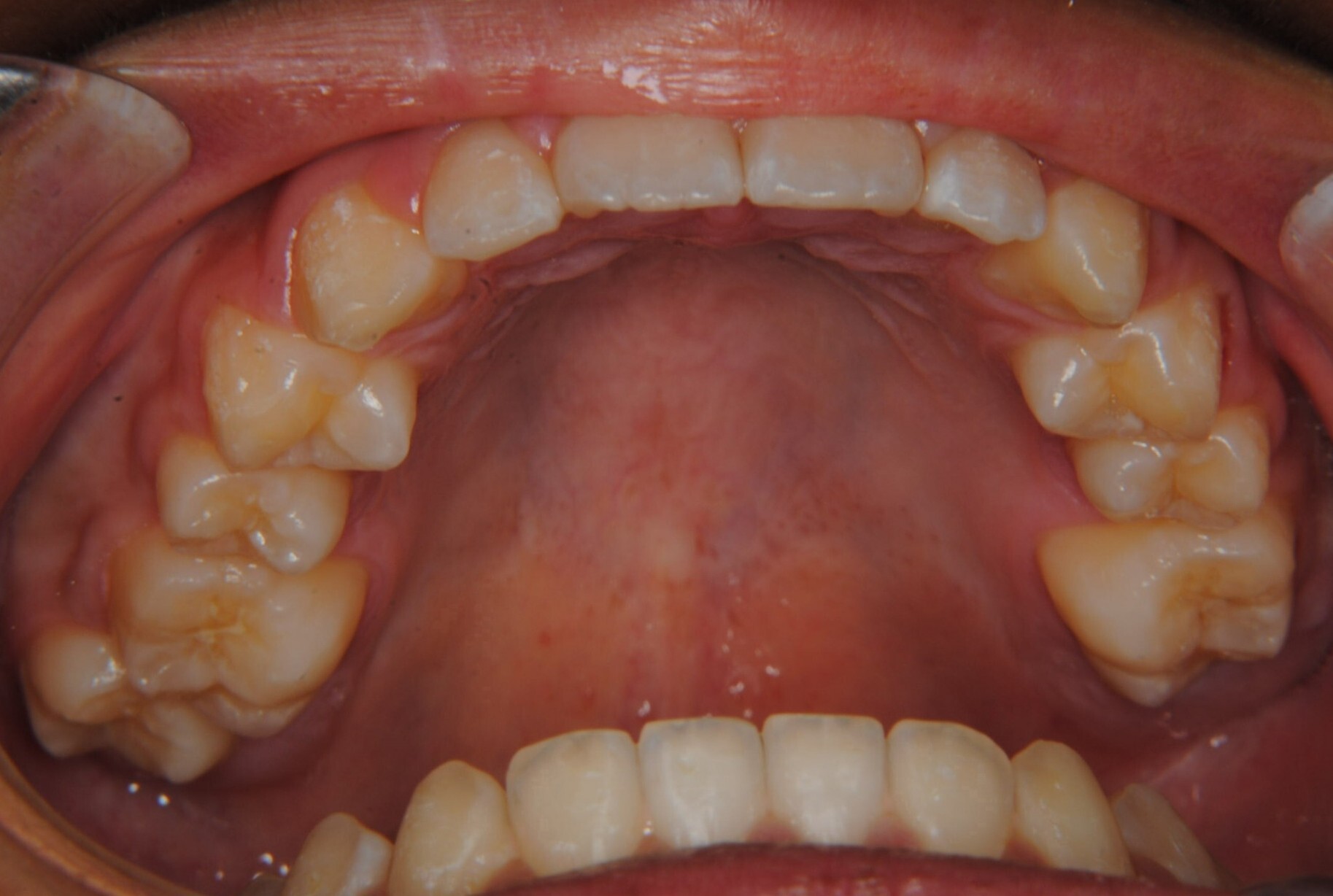
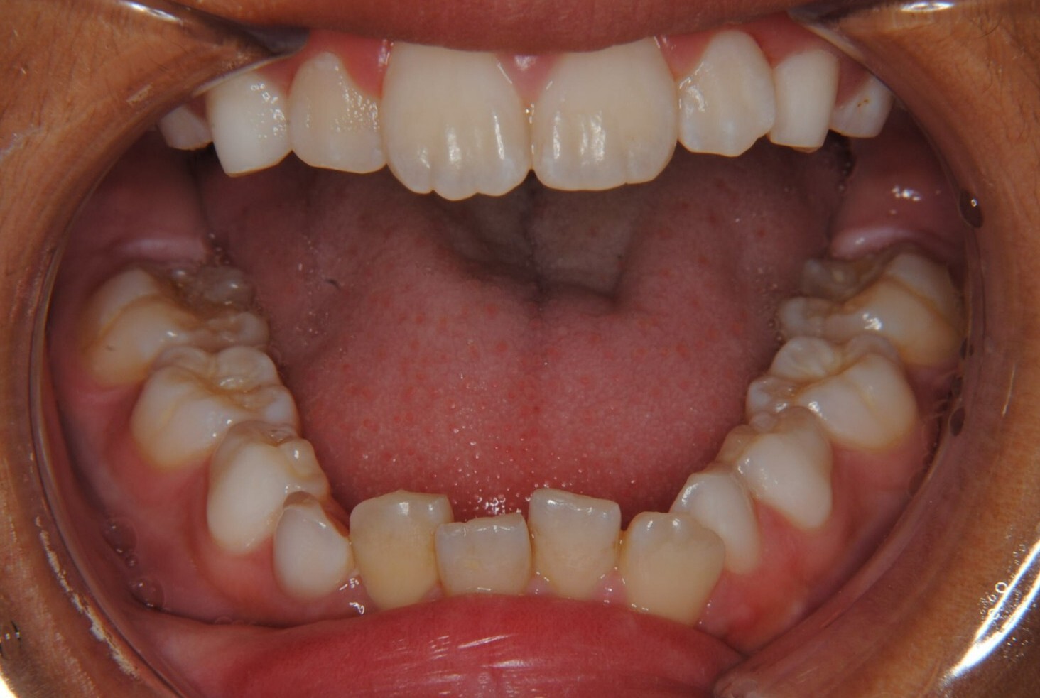
①主訴:下の前歯のデコボコ
②診断名:Ⅰ級叢生
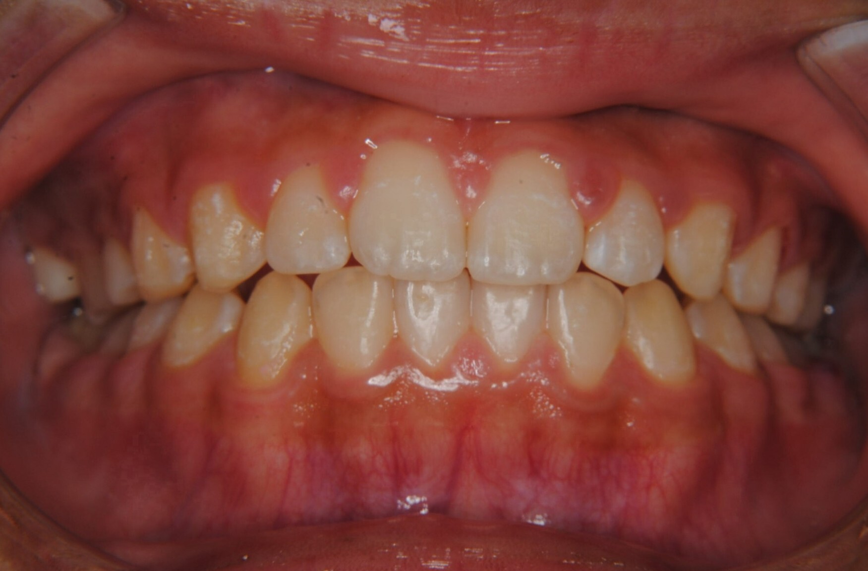
③年齢:初診時10歳2か月、マルチブラケット装置装着時12歳8か月、動的治療終了時13歳8か月、男児
④治療に用いた主な装置:拡大床使用ののちマルチブラケット装置(T21ブラケット)
⑤抜歯部位:なし(非抜歯)
⑥治療期間:3年6か月
⑦治療費:検査診断料44,000円、矯正施術料770,000円、処置料5,500円×20回=110,000円
※取り外し式装置の紛失に税込み11,000円の再製作料をいただいて再製作を行いました。合計:935,000円(税込み)
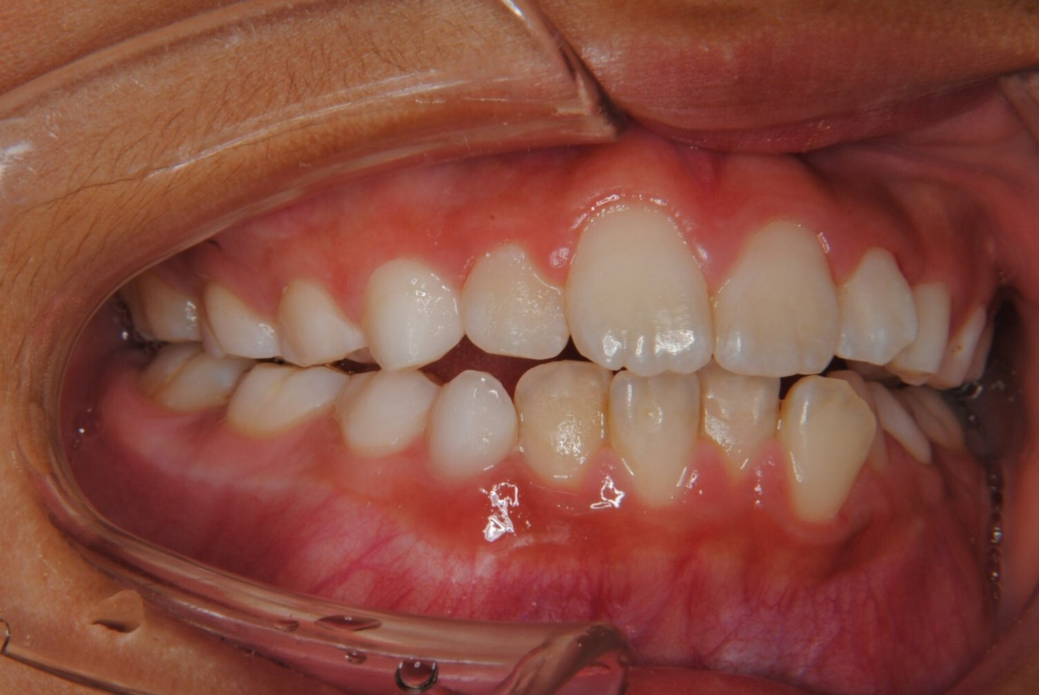
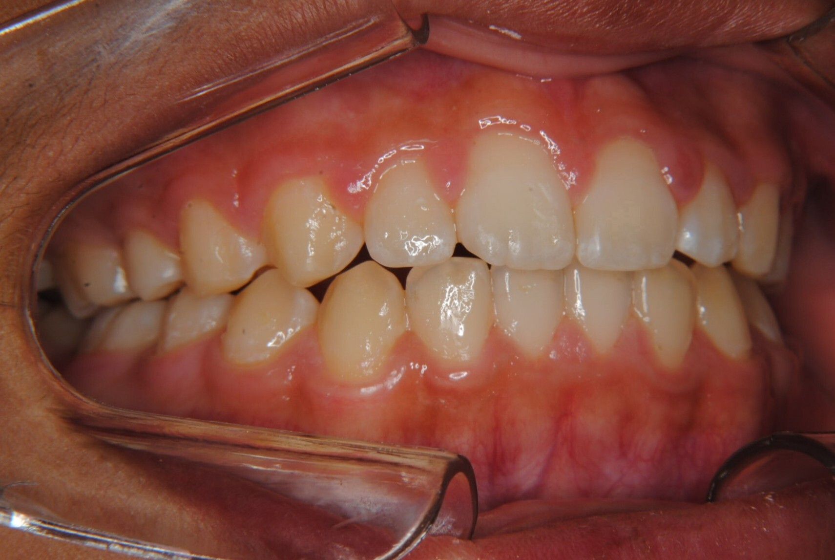
⑧リスクと副作用:マルチブラケット装置(T21ブラケット)を初めてつけてからの痛みはほとんどなかったそうです。治療後のエックス線写真で、歯根吸収はほとんど観察されず歯根の状態は健全で、歯肉退縮(ブラックトライアングル)も生じませんでした。












