ホーム ≫ 症例紹介(8歳の男子2) ≫
症例紹介
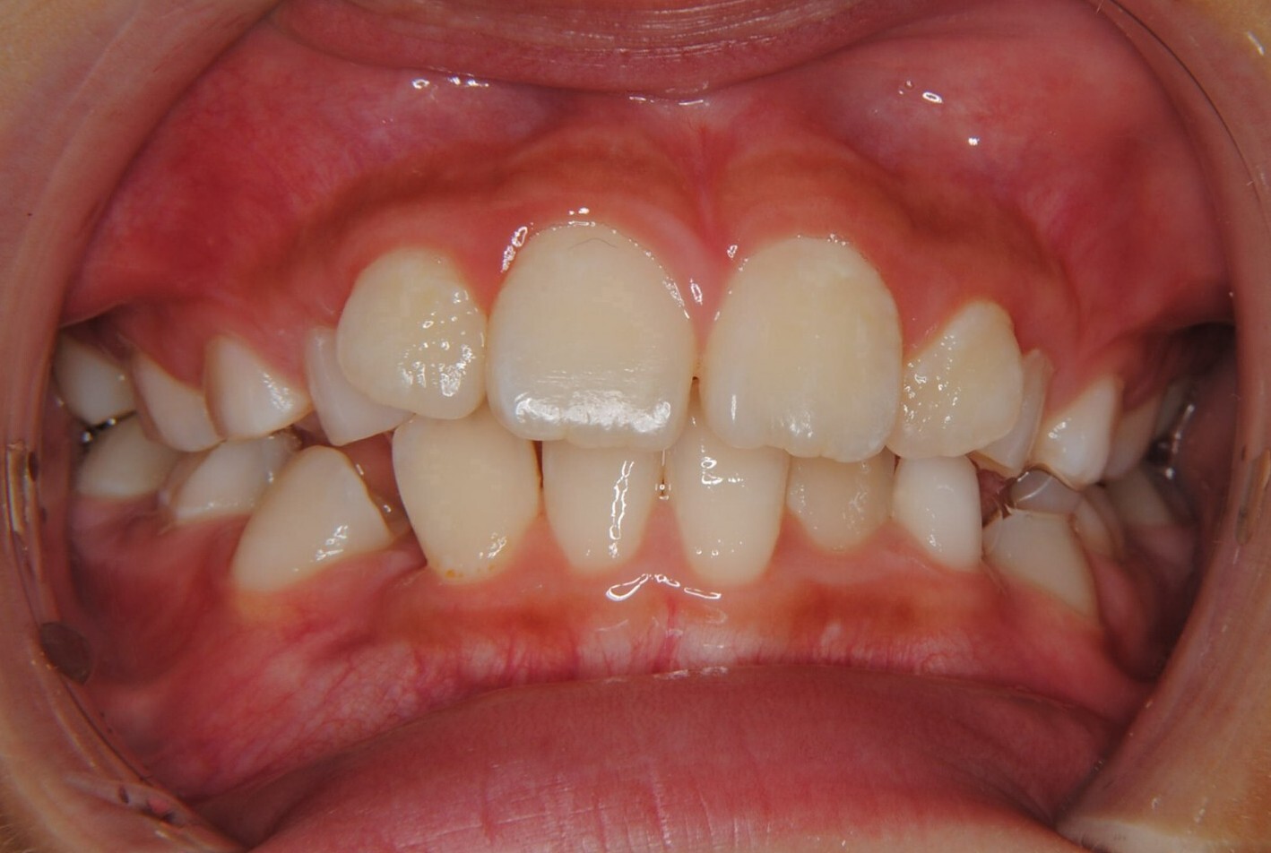
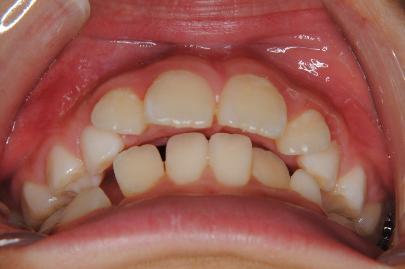
①主訴:歯並び全体のガタガタとちょっと出っ歯なところを治したい。
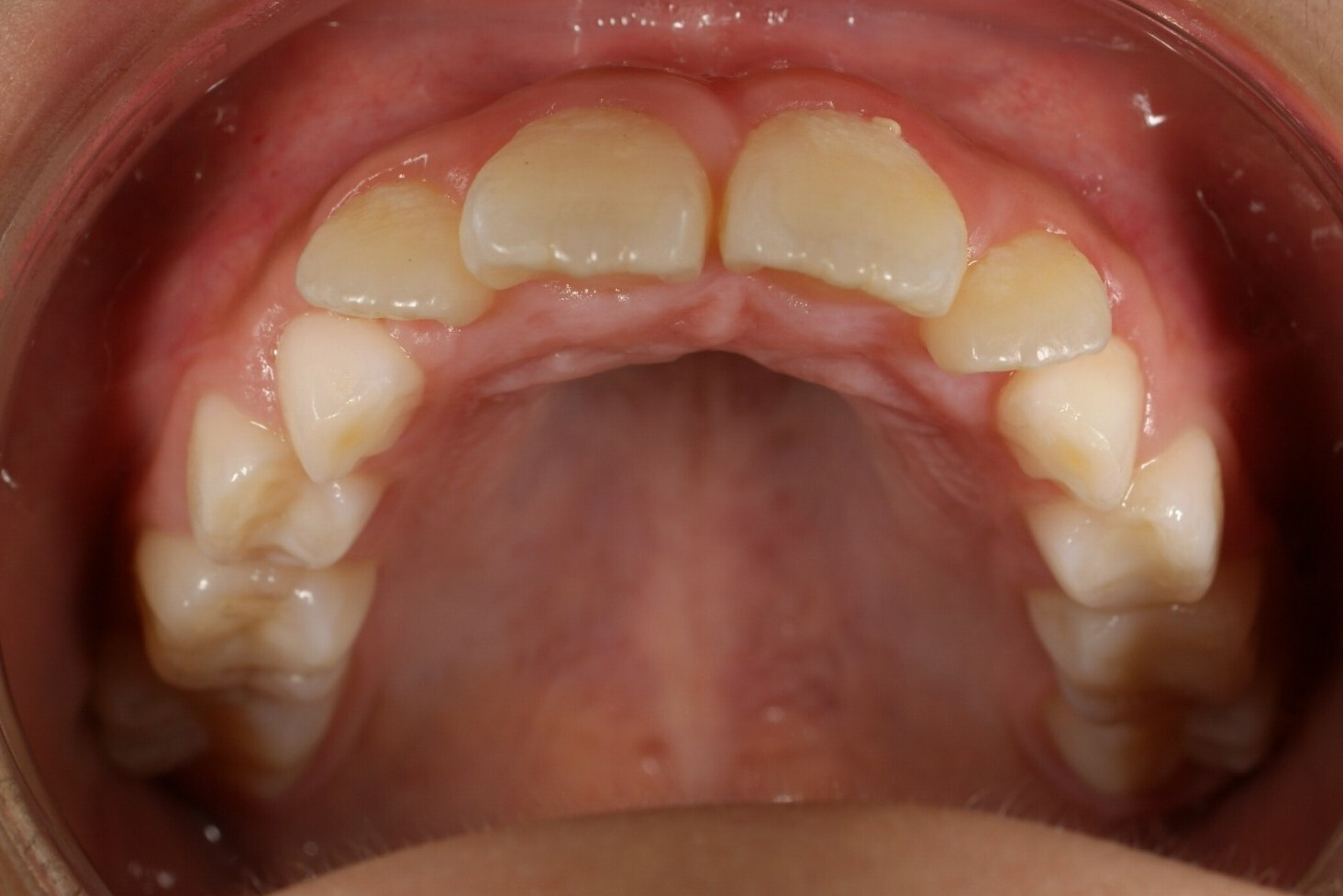
②診断名:下顎第2小臼歯先天性欠如を伴う軽度上顎前突と叢生
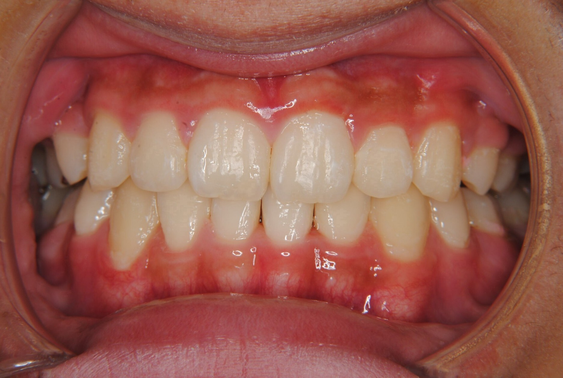
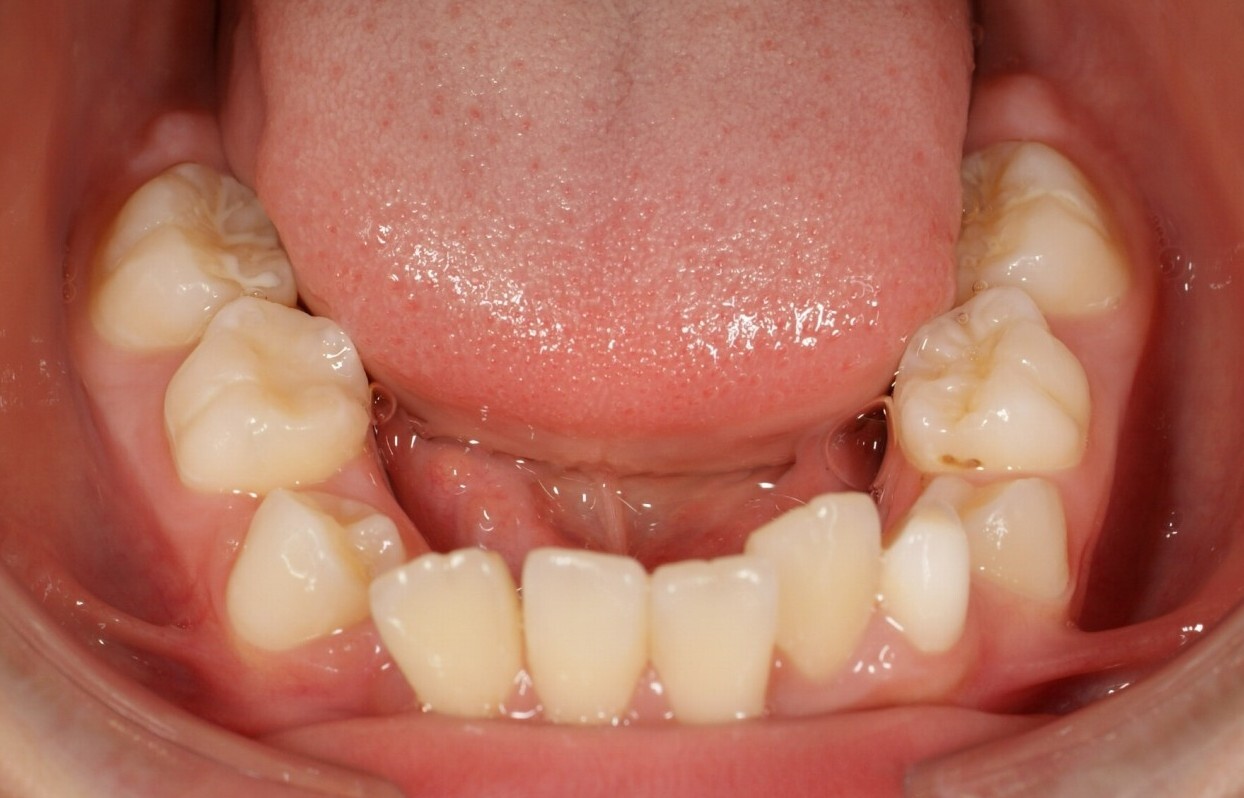
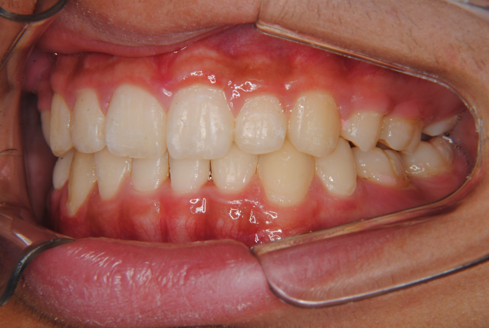
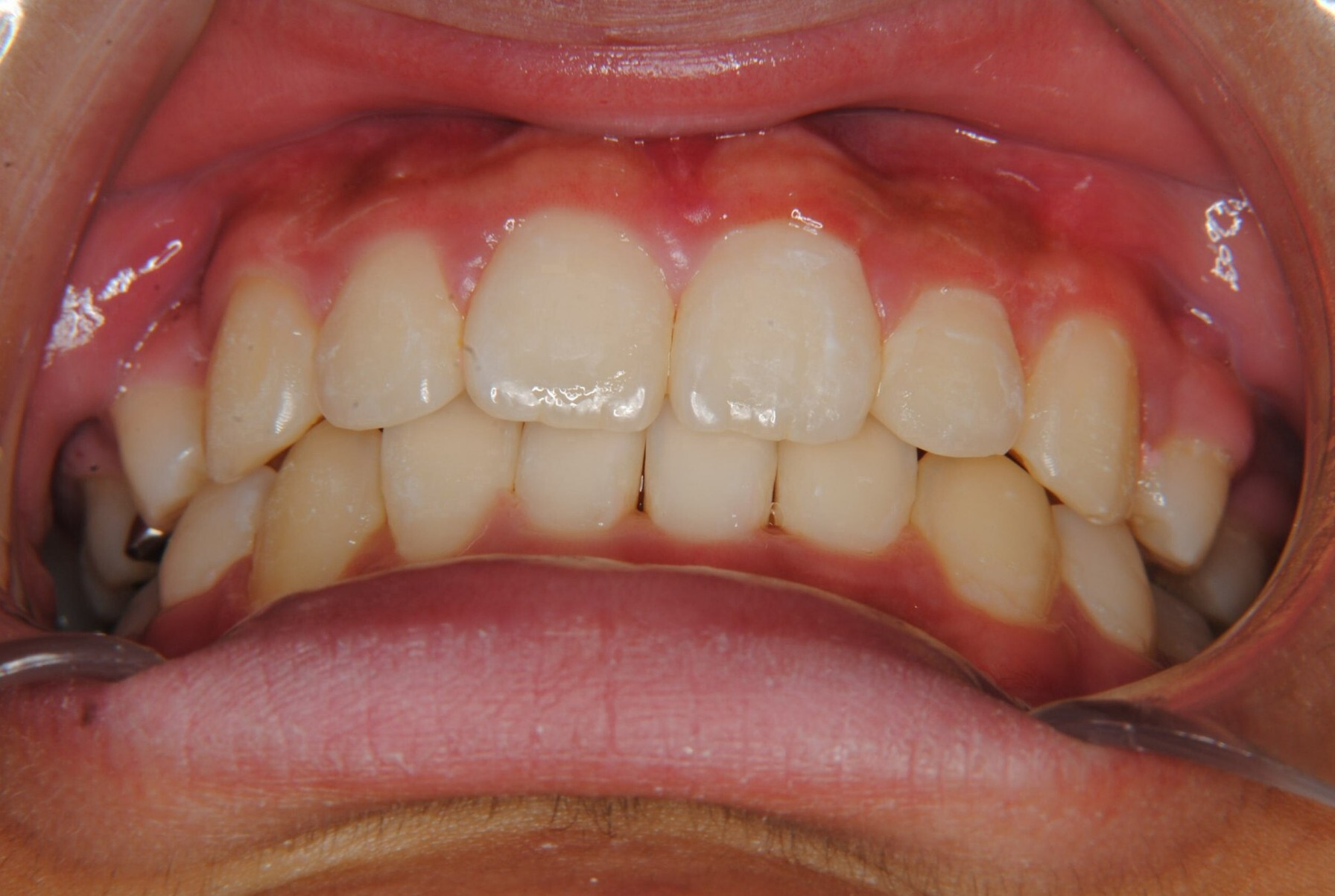
③年齢:初診時8歳7か月(左写真)、マルチブラケット装置開始12歳4か月
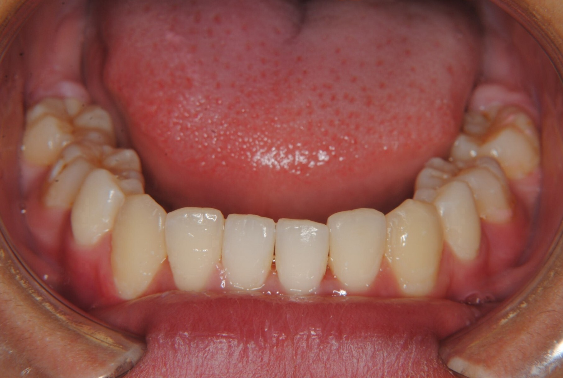
動的治療終了時13歳9か月(右写真)
④治療に用いた主な装置:マルチブラケット装置
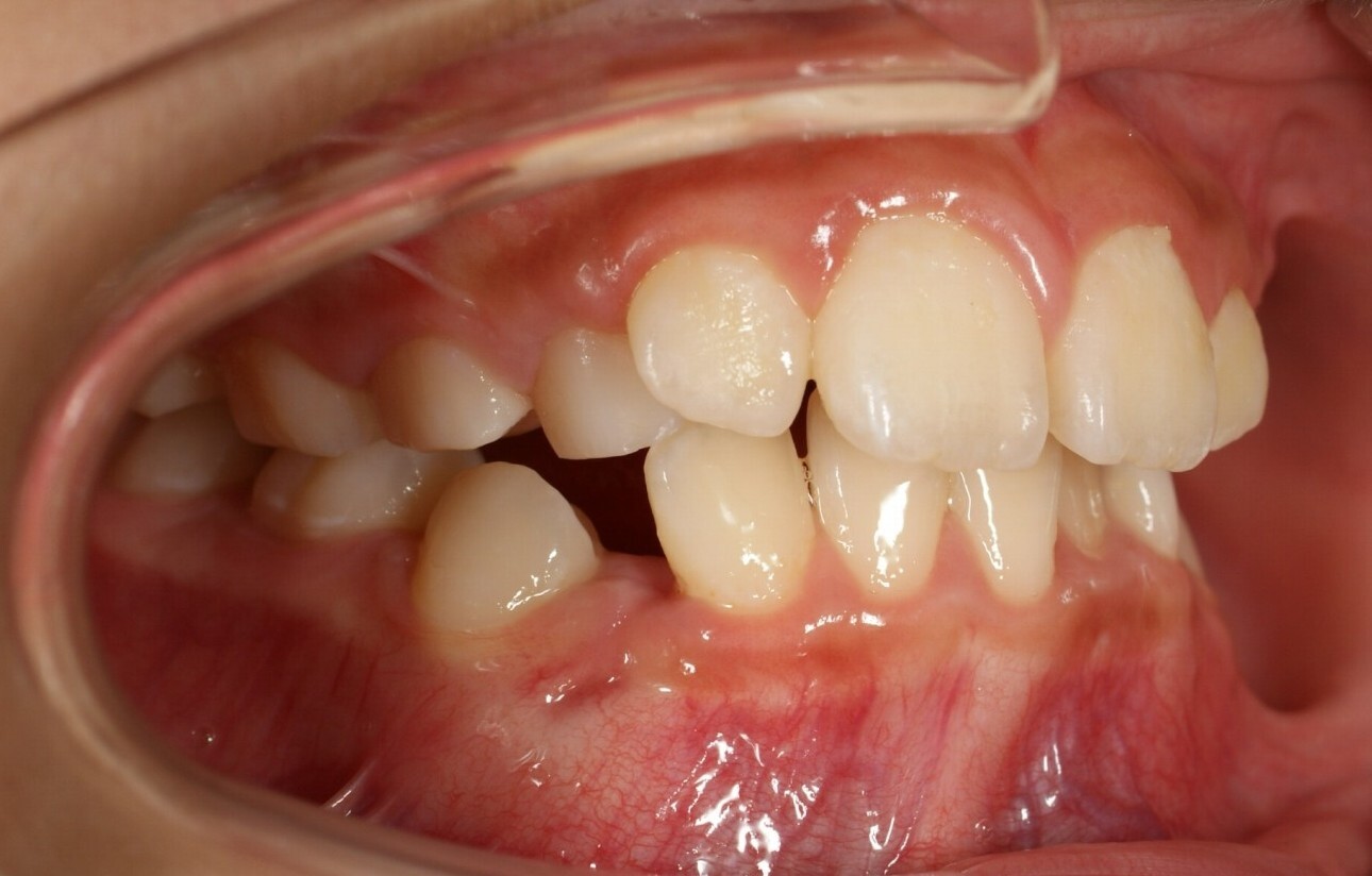
⑤抜歯部位:上顎左右第一小臼歯(下顎左右第二小臼歯は先天性欠如歯で、その部位に残存していた下顎左右第二乳臼歯を抜歯)
⑥治療期間:1年5ヶ月
⑦治療費:検査診断料44,000円、矯正施術料770,000円、処置料5,500円×16回=88,000円
合計:902,000円(税込み)
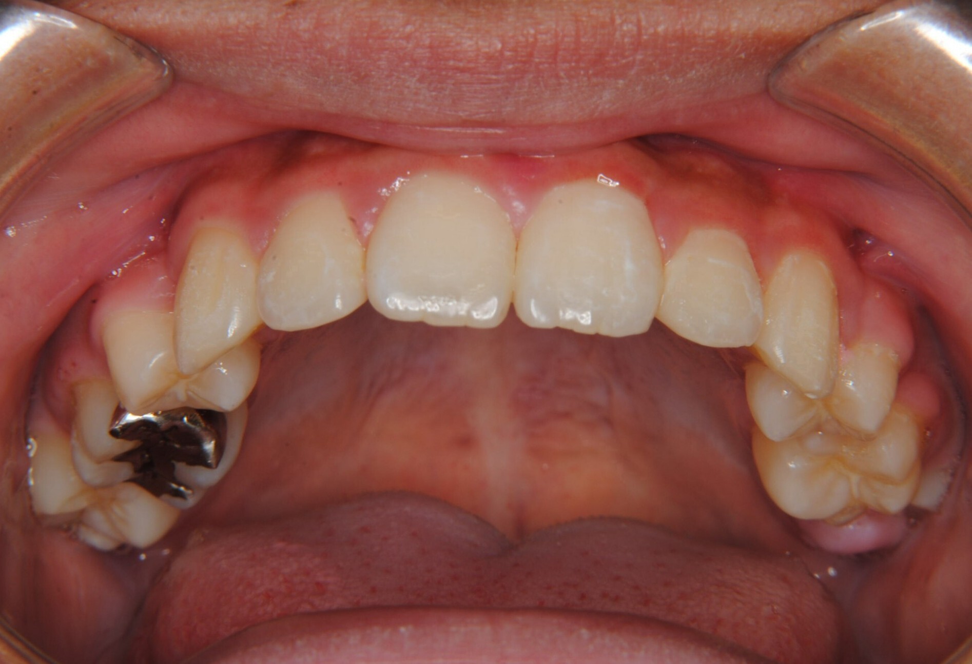
⑧リスクと副作用:マルチブラケット装置(T21ブラケット)を初めてつけてから4日間程、食事の時に前歯が少し痛かったとのことでした。治療後のエックス線写真で、歯根吸収はほとんど観察されず、歯肉をよく診ると下顎前歯部にわずかな歯肉退縮が生じていました。
本症例の治療経過概要:初診矯正相談では、8歳小学校3年生で乳歯も多いので上下歯列を拡大して永久歯非抜歯で治しましょうと説明しました。 ところが検査の結果、下左右第2小臼歯(5番目の歯)先天性欠如で存在せず、残っている乳歯の一方は虫歯、もう一方はその前の4番目の永久歯が引っかかって出てこれないので、5番目の乳臼歯は抜いて奥歯を前に詰めることにしました。そのままでは出っ歯も治りませんし、下の奥歯が前に移動して上の奥歯の相手がなくなり、咬み合わせが悪くなってのちのち困ることになるので、上の左右第一小臼歯を抜歯して治しました。マルチブラケット装置(T21ブラケット)を1年5カ月つけて治りました。











