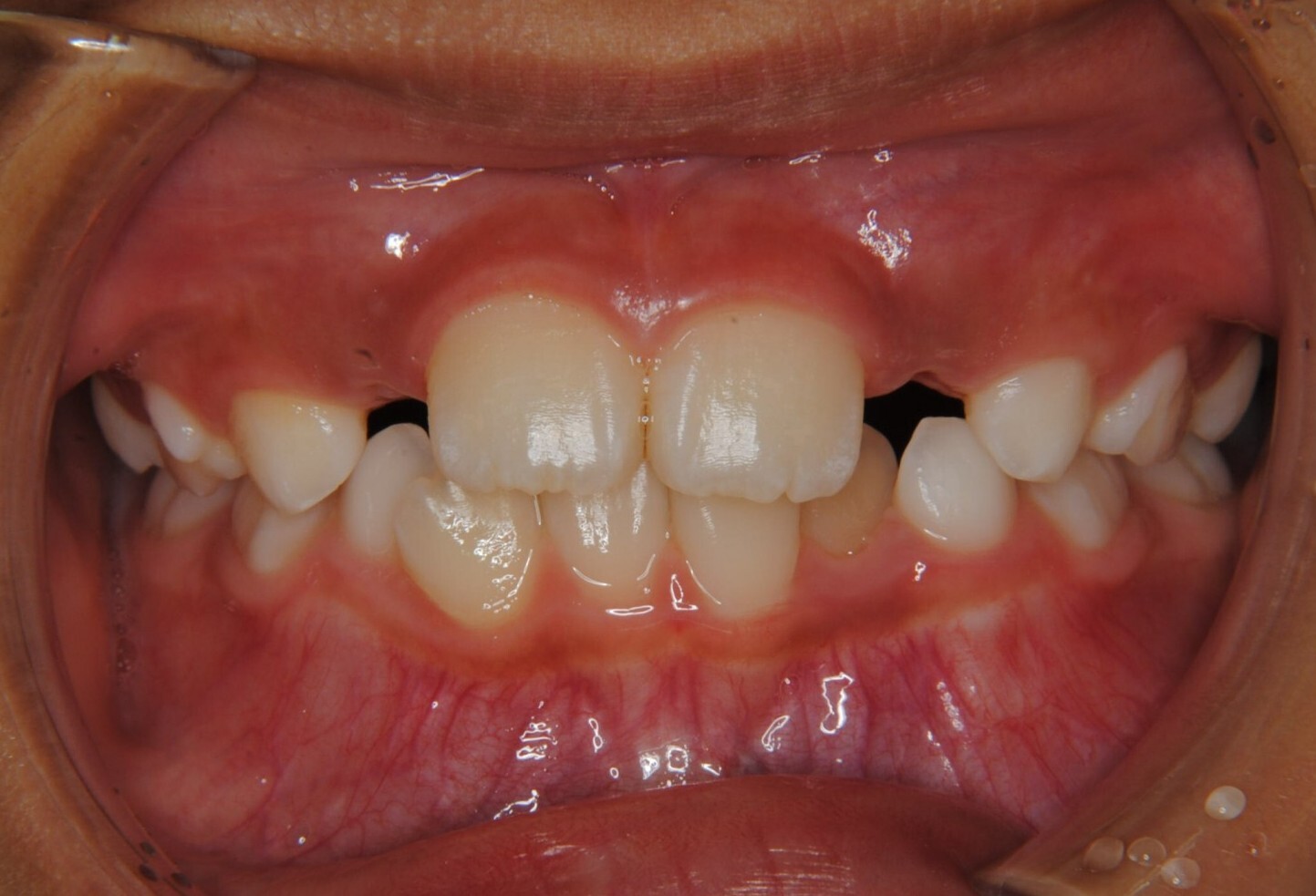
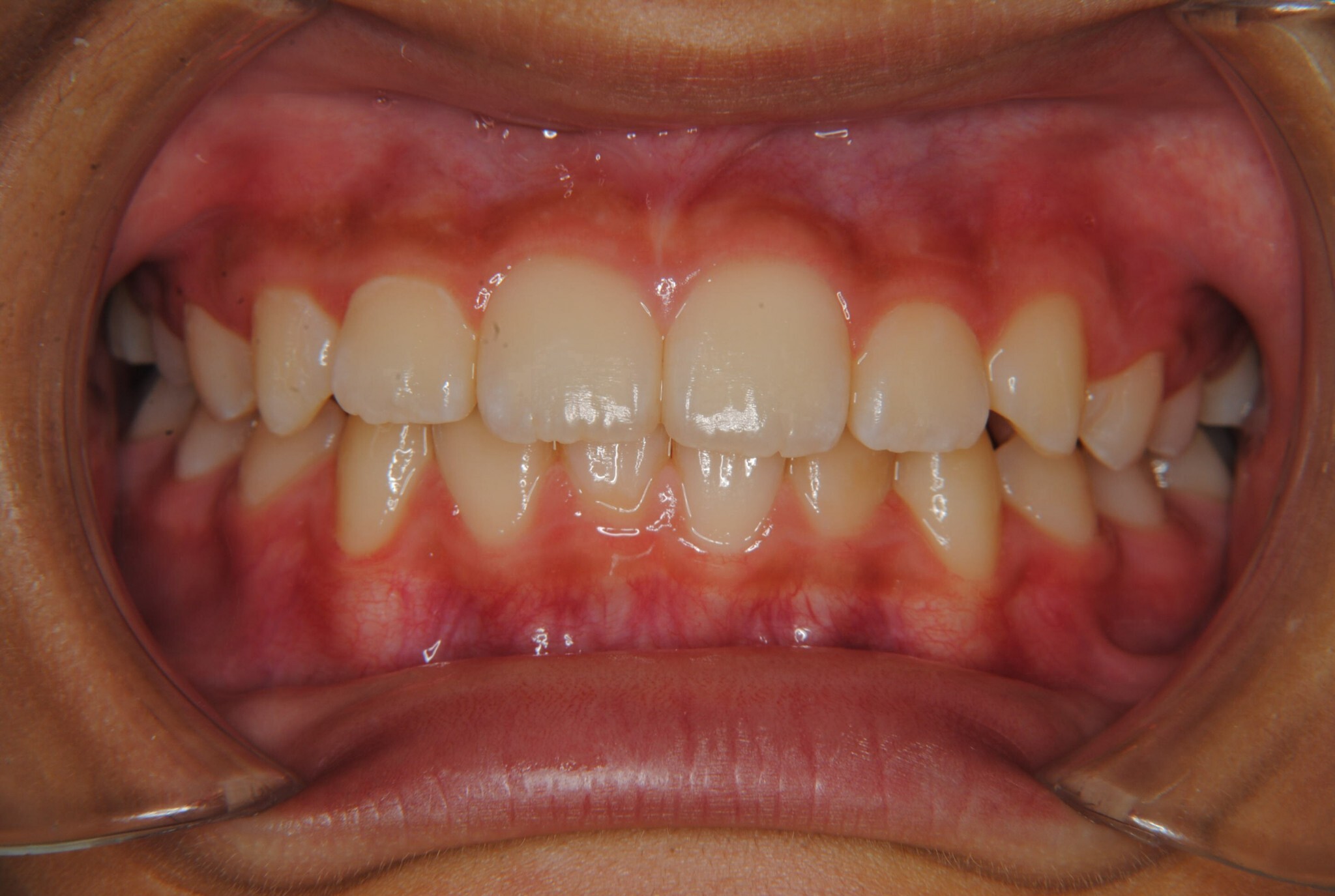
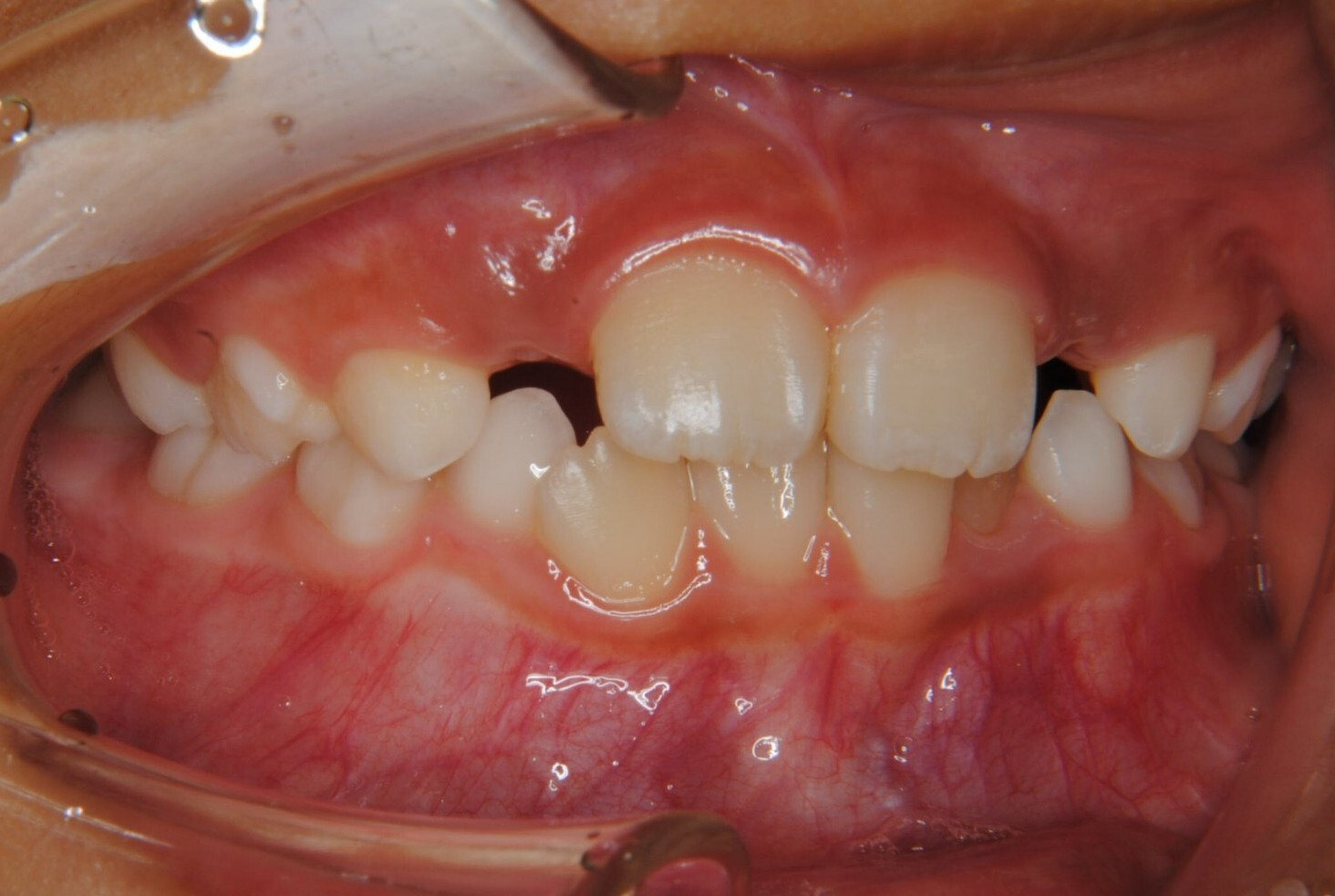
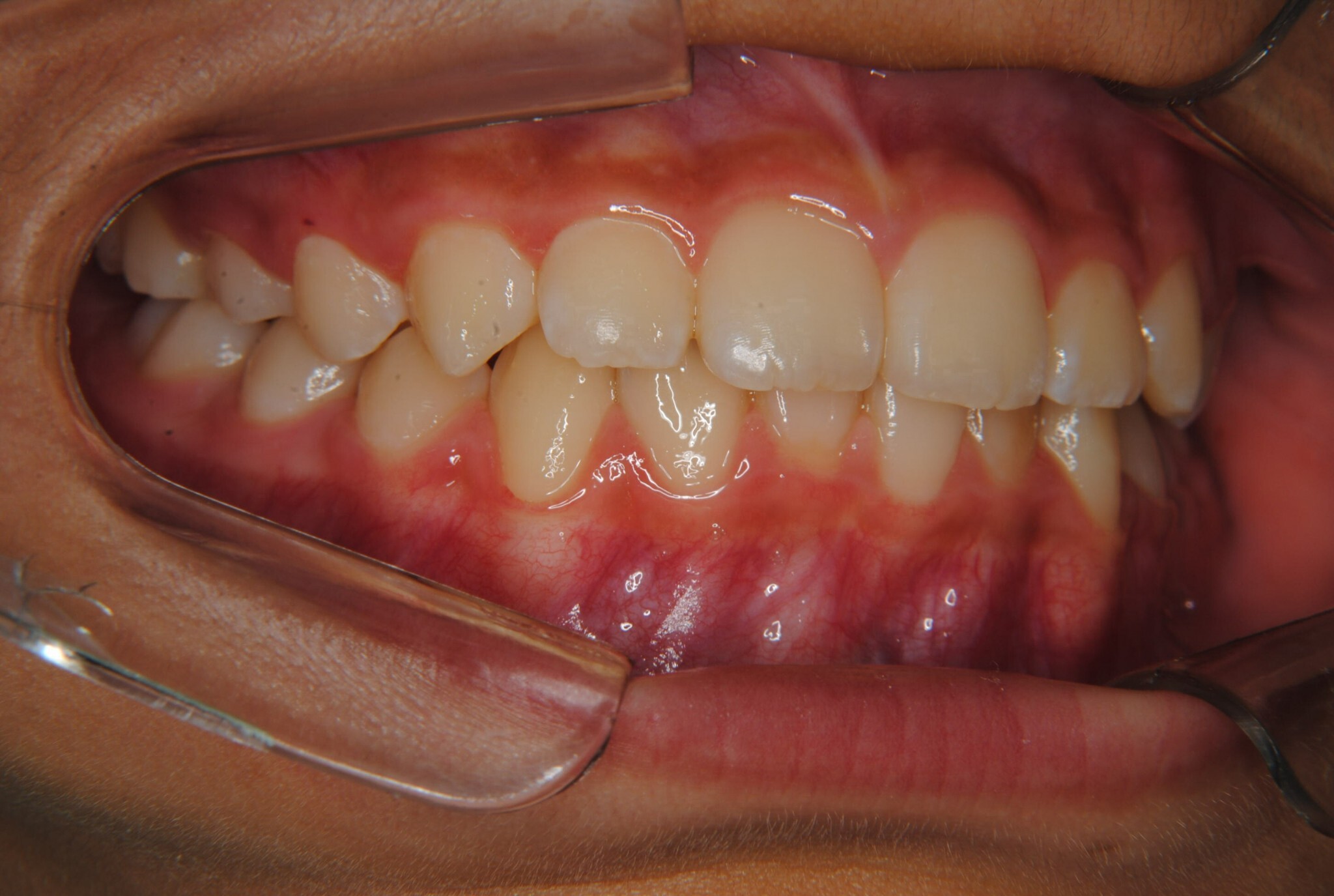
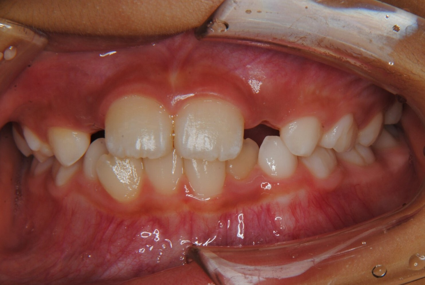
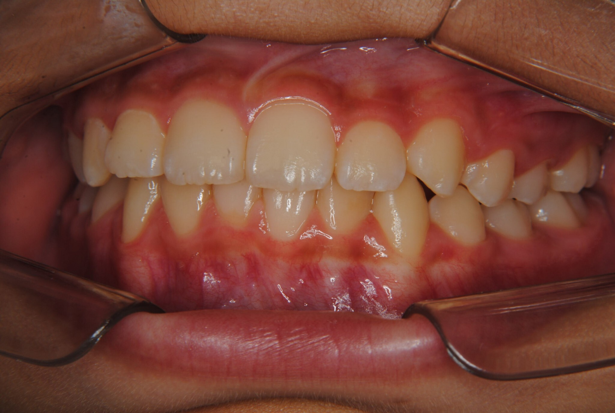
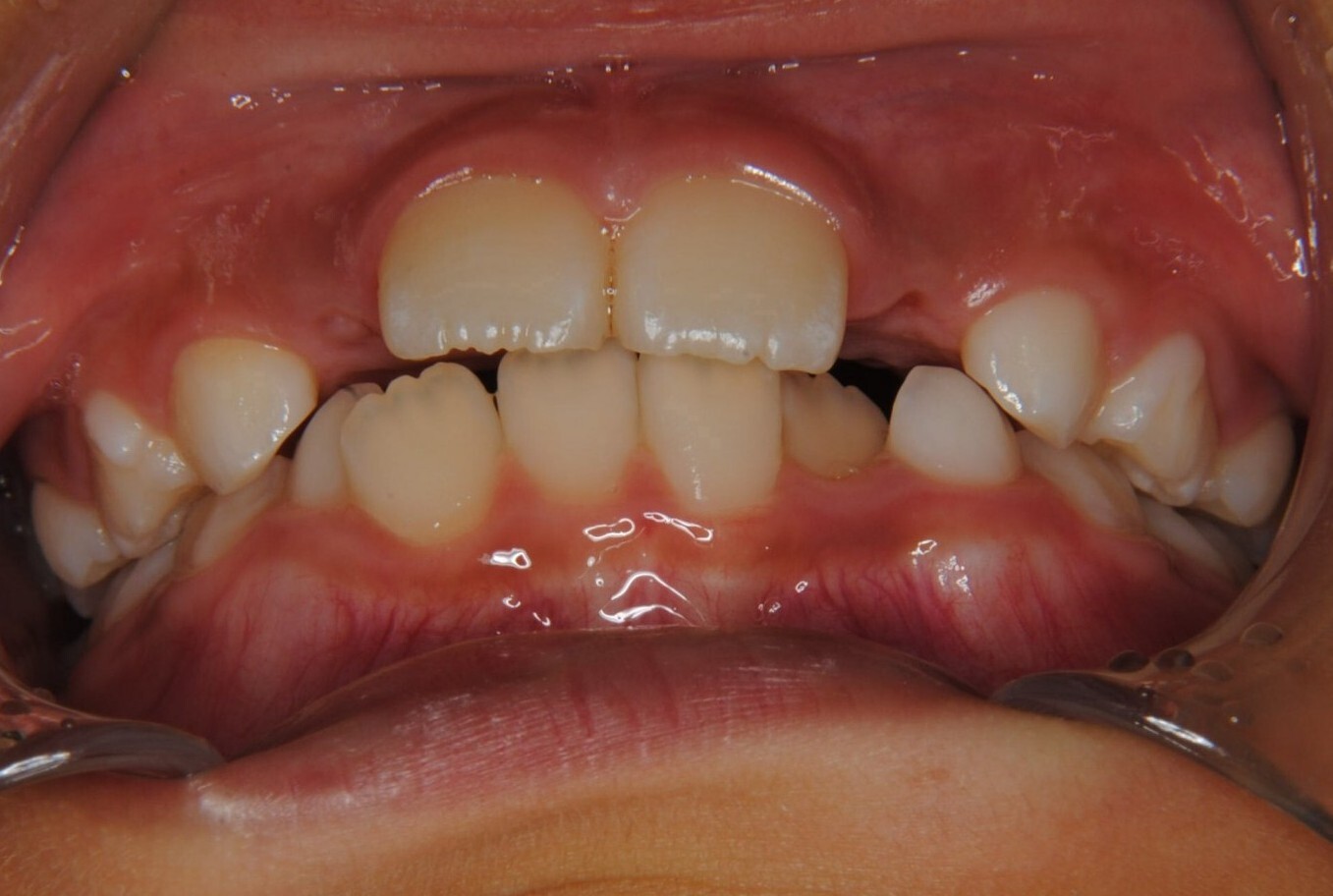
ホーム ≫ 症例紹介(8歳の男の子) ≫
症例紹介
①主訴:下の前歯のデコボコ
②診断名:Ⅰ級叢生
③年齢:初診時(左写真)8歳6か月、終了時(右写真)11歳4か月
④治療に用いた主な装置:拡大床
⑤抜歯部位:なし(非抜歯)
⑥治療期間:1年4か月
⑦治療費:検査診断料44,000円、矯正施術料385,000円、処置料5,500円×8回=44,000円
合計:473,000円(税込み)
⑧リスクと副作用:特に大きなリスクや副作用はありませんでした。拡大床装着直後は違和感があったようですが、特に痛みを感じることなく6.5mmまで拡大できました。その後永久歯への生え変わりも順調で、ほぼ正常な咬み合わせになりました。この後11歳4か月まで観察し、7番目の奥歯である12歳臼歯がきちんと咬んだので終了となりました。












