ホーム ≫ 症例紹介(32歳10カ月女性) ≫
症例紹介
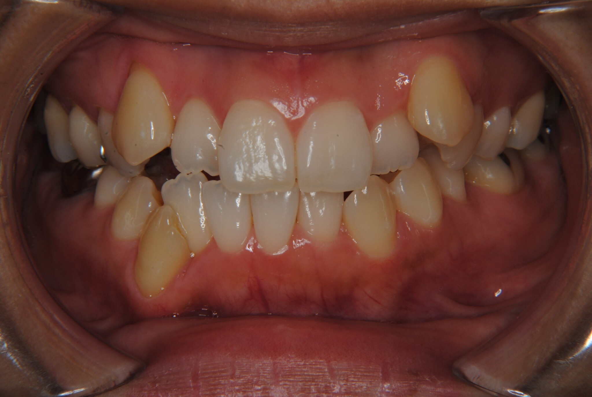
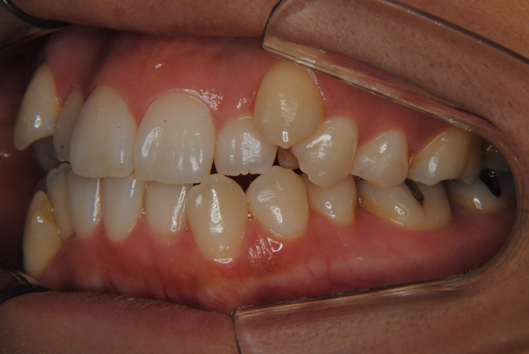
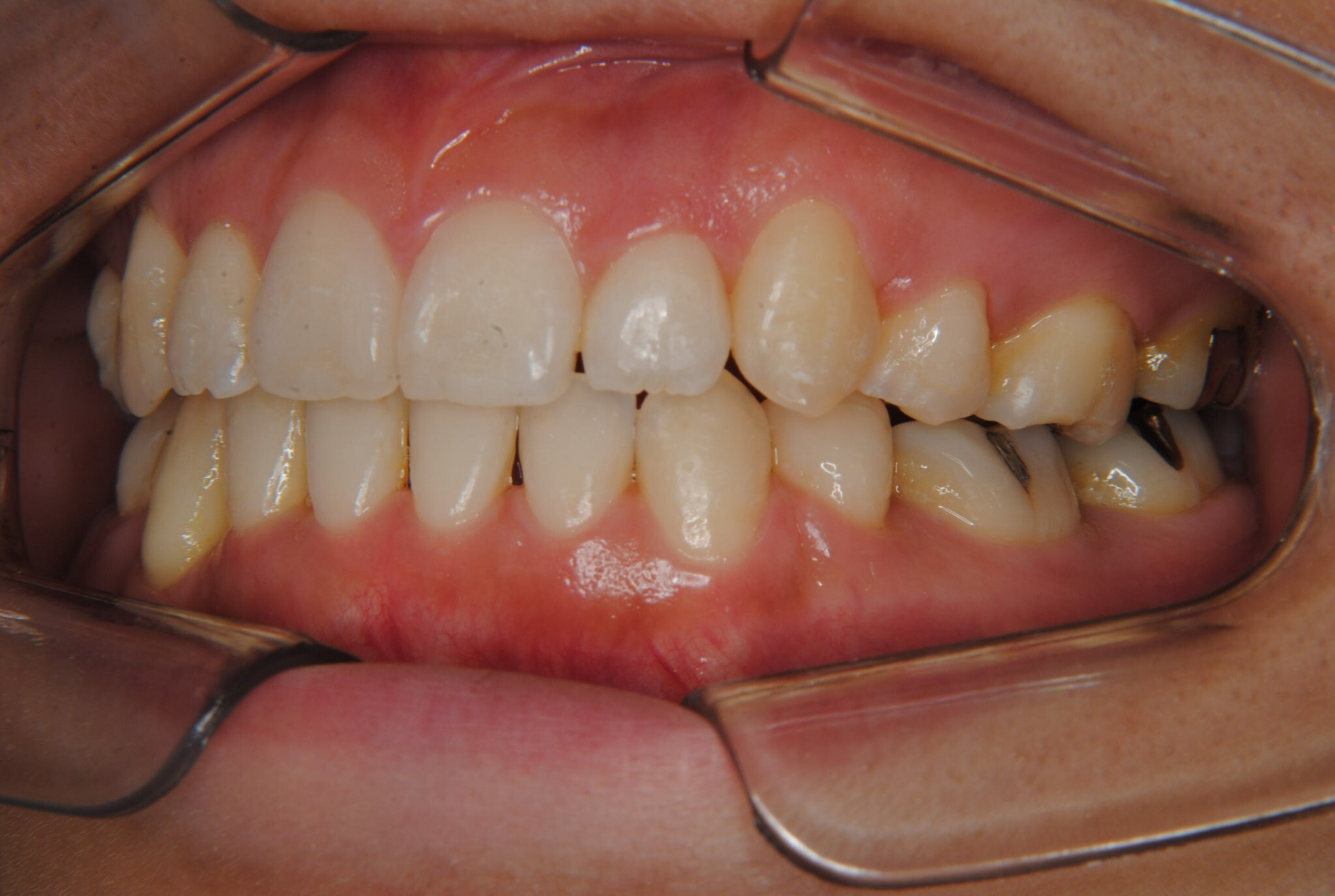
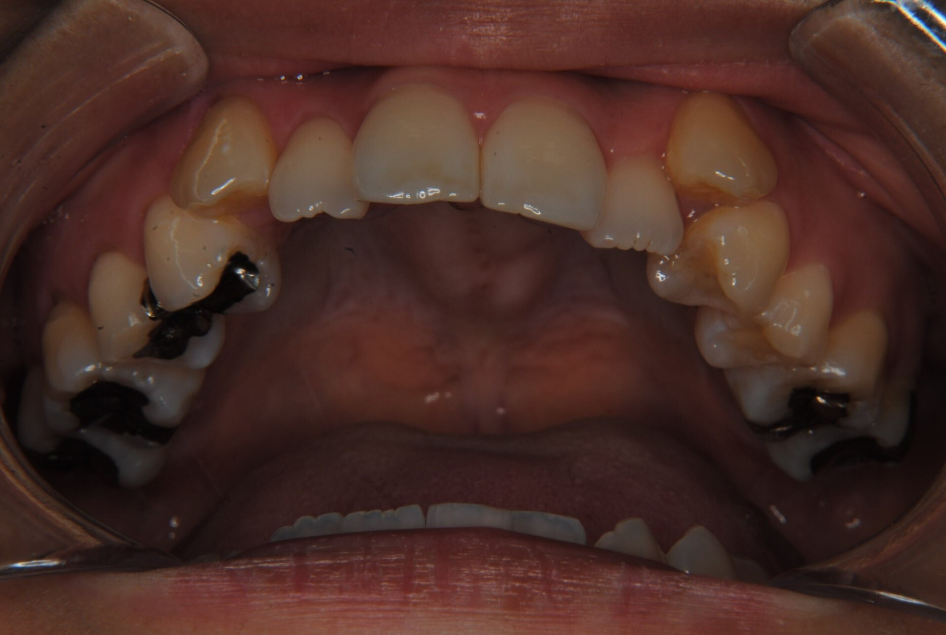
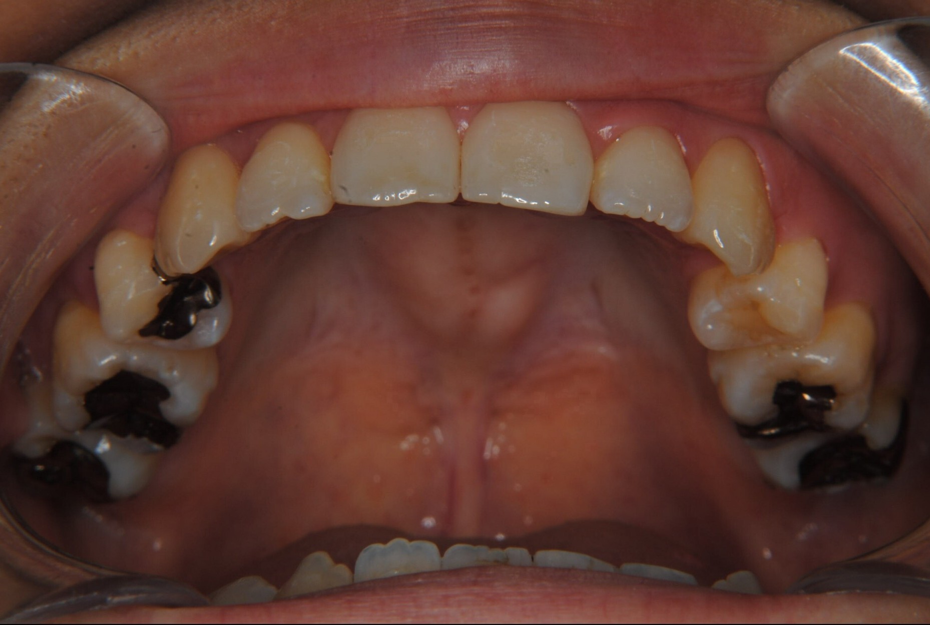
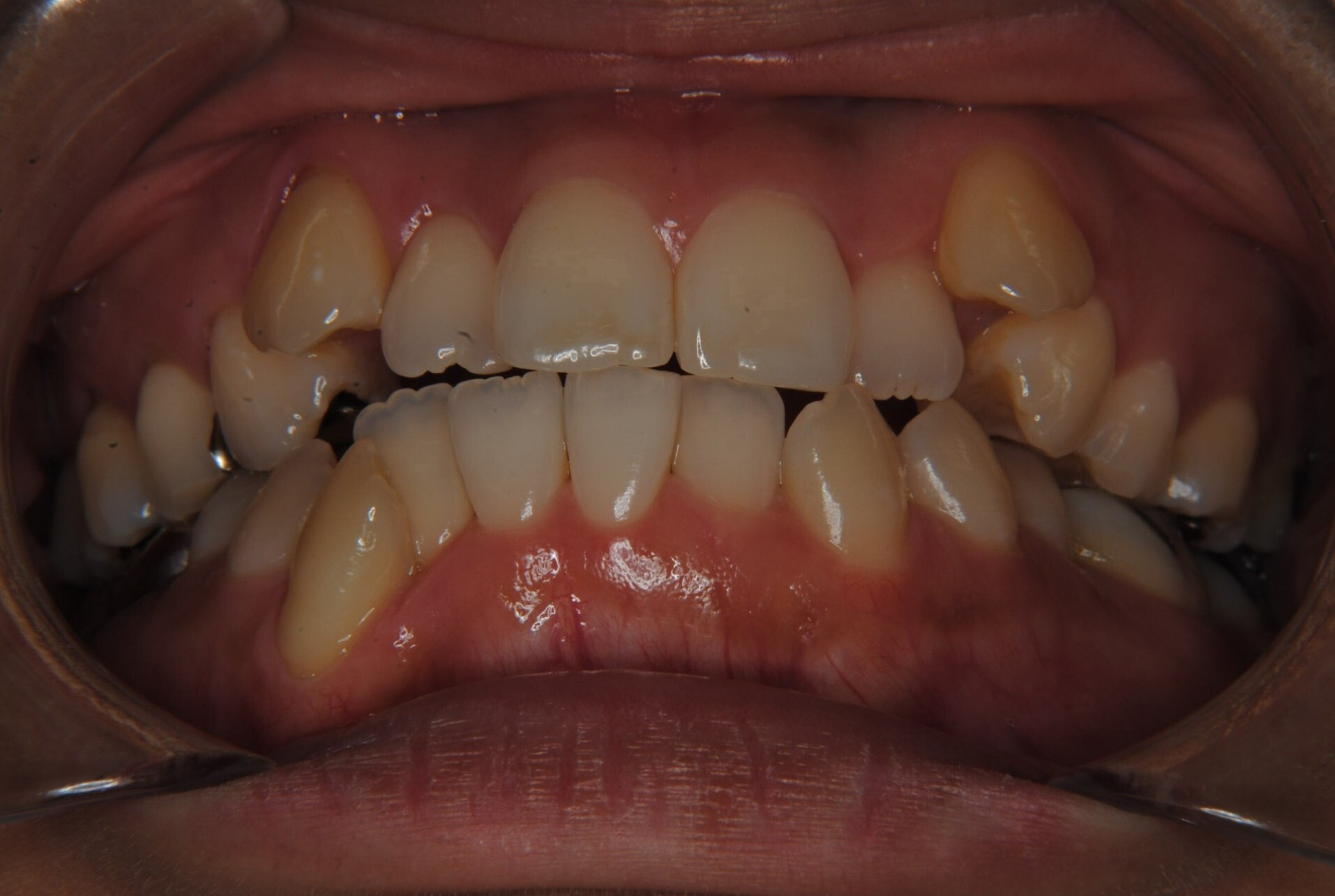
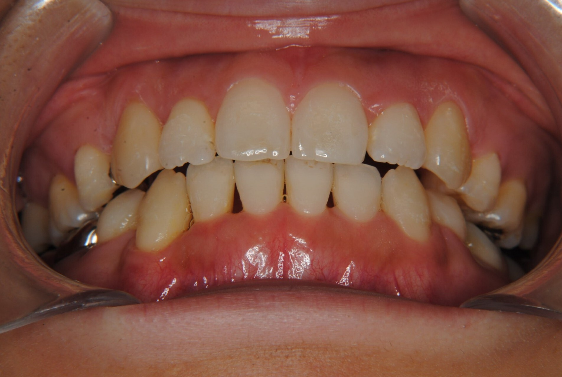
①主訴:八重歯、前歯のガタガタ、真ん中の不一致を治したい
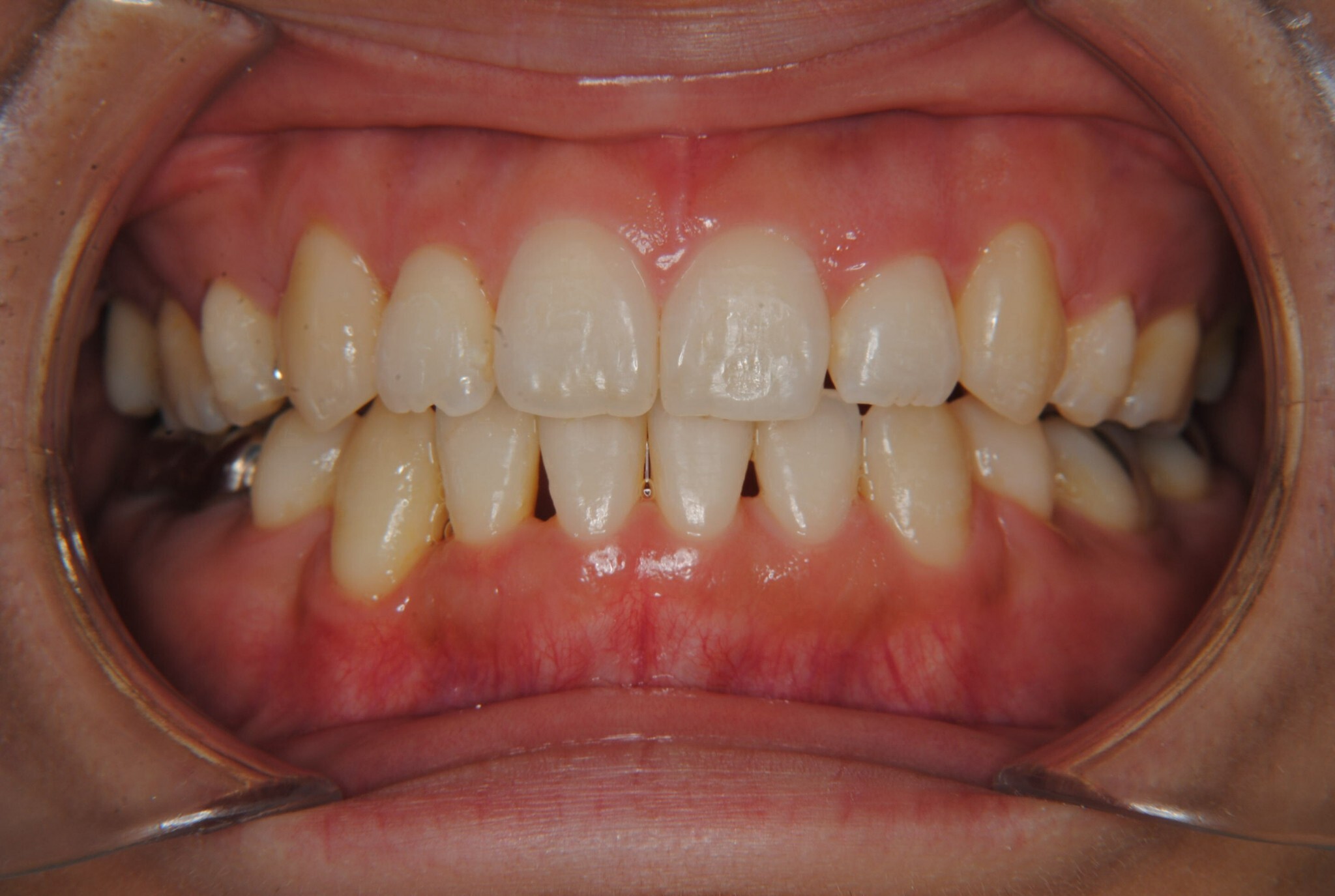
②診断名:AngleⅠ級叢生
③年齢:治療開始時32歳10か月、動的治療終了時34歳5か月
④治療に用いた主な装置:マルチブラケット装置(T21ブラケット)
⑤抜歯部位:上下左右第一小臼歯
⑥治療期間:1年7ヶ月
⑦治療費:検査診断料44,000円、矯正施術料770,000円、処置料5,500円×19回=104,500円
合計:918,500円(税込み)
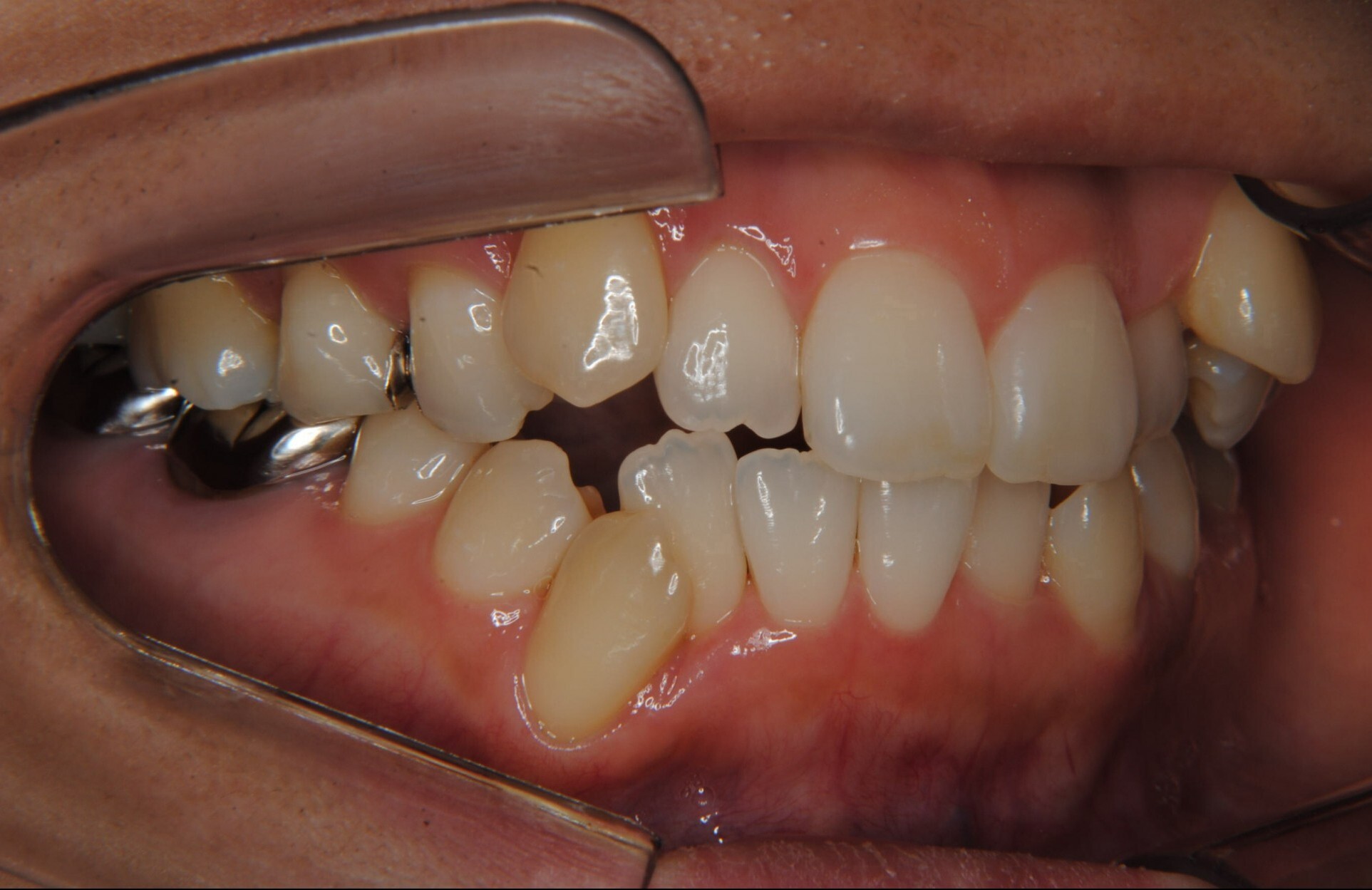
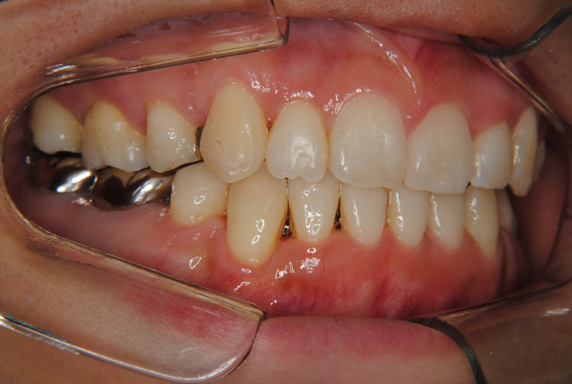
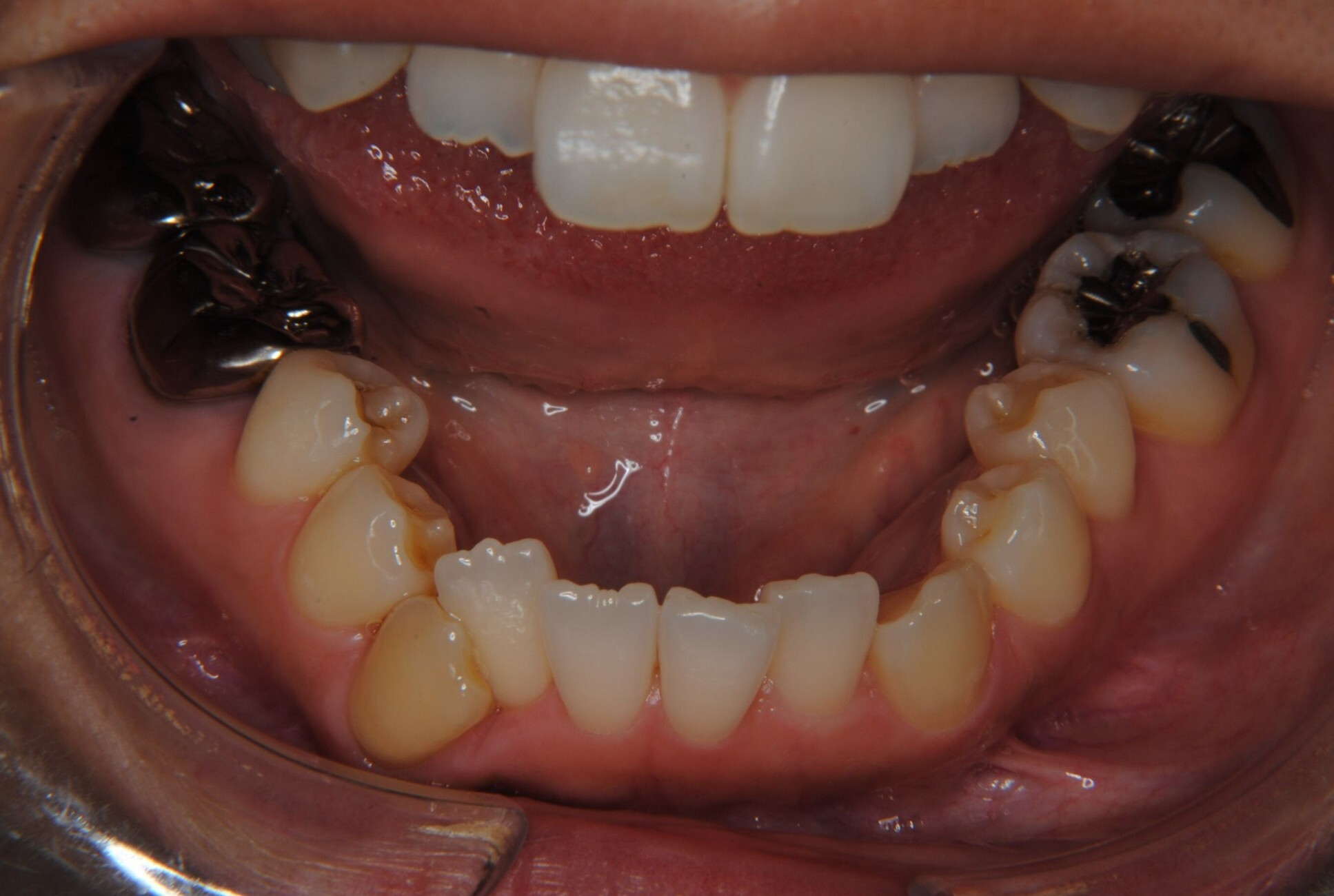
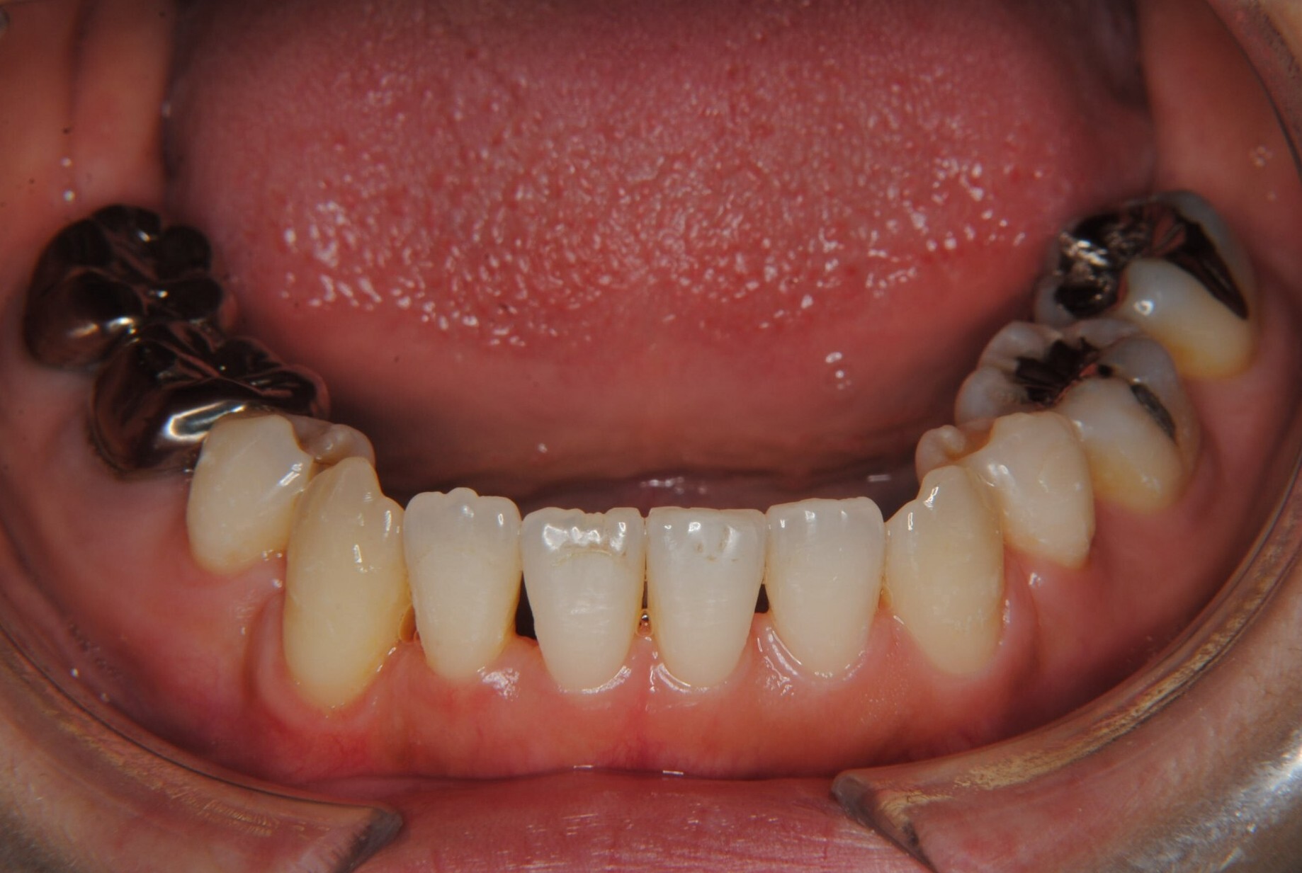
⑧リスクと副作用:マルチブラケット装置(T21ブラケット)を初めてつけてから4日間、食事の時におもに前歯が少し痛かったとのことでした。治療後のエックス線写真で、歯根吸収はほとんど観察されず、歯肉を診ると残念ながら下顎前歯部に歯肉退縮(ブラックトライアングル)が生じていました。しかし、通常下顎前歯部は下唇に隠れてむき出しにはなっていないので、ご本人はあまり気にされていないご様子でホッとしています。












