ホーム ≫ 症例紹介(19歳9カ月の女性) ≫
症例紹介
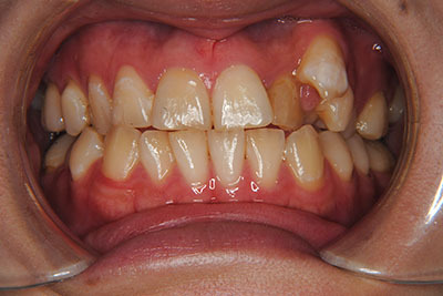
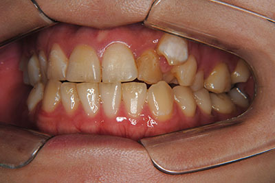
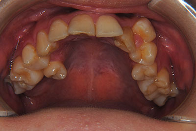
①主訴:左上八重歯を治したい。
②診断名:AngleⅠ級叢生
③年齢:治療開始時19歳9か月、動的治療終了時20歳7か月
④治療に用いた主な装置:マルチブラケット装置
⑤抜歯部位:右上第二小臼歯、左上第一小臼歯
⑥治療期間:10か月
⑦治療費:検査診断料44,000円、矯正施術料770,000円、処置料5,500円×11回=60,500円
合計:874,500円(税込み)
⑧リスクと副作用:マルチブラケット装置(T21ブラケット)を初めてつけてから3,4日、食事の時に歯が少し痛かったとのことでした。治療後のエックス線写真で、歯根吸収はほとんど観察されませんでしたが、歯肉を診ると残念ながら下の真ん中の前歯2本の間に若干の歯肉退縮(ブラックトライアングル)が生じていました。
治療概略:治療開始時19歳9カ月の女性、左上八重歯を治したいと相談にいらした大学生です。相談時に抜歯の可能性、矯正装置、費用概略をご説明し、未成年の方、学生の方は親御さんの同意が必要なので診断時に同席していただくようお願いしました(遠隔地の方は当院から親御さん宛同意書を送付し、記入押印の上ご返送いただいてから治療開始となります)。
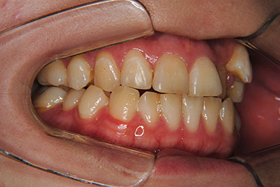
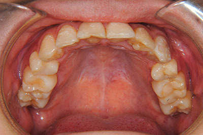
お口の中を診ますと、左上第二小臼歯が歯列の内側に生え、左上犬歯のスペースは全くない八重歯となっていました。検査結果から骨格的な不正はなく。上奥歯が前にずれたかみ合わせで前歯は合っていて出っ歯ではないので左右1本ずつ歯列からはみ出した状態であることがわかりました。上の奥歯を横の歯1本分後ろにずらすことは困難なので、右上中側に生えている第二小臼歯と八重歯である左上犬歯の次の歯=第一小臼歯の2本を抜歯し治療しました。
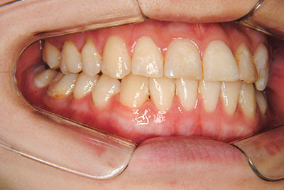
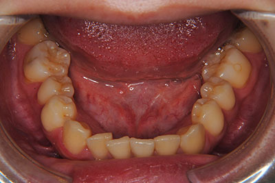
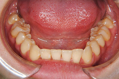
マルチブラケット装置(T21ブラケット)に加えて口の中のゴムをたいへん頑張って使っていただいた結果、治療前の予想期間1年から1年半であったところ、10カ月で動的治療を終了できました。上下真ん中のズレも治りぴったりになりました。 これからは歯並びの維持安定のためリテーナー(保定装置)を使いながら定期健診となります。












